Please wait, while we are loading the content...
Please wait, while we are loading the content...
| Content Provider | frontiers |
|---|---|
| Author | Xing, Qian Zhang, Zhongwei Zhu, Biao Lin, Qionghua Shen, Lihua Li, Fangfang Xia, Zhili Zhao, Zhiyong |
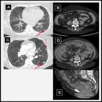
| Abstract | Introduction: Immune therapy has ushered in a new era of tumor treatment, at the expense of immune-related adverse events, including rare but fatal adverse cardiovascular events, such as myocarditis. Steroids remain the cornerstone of therapy for immune-related myocarditis, with no clear consensus on additional immunosuppressive treatment for steroid-refractory cases yet. Case report: Here we report a patient with stage IV nasopharyngeal carcinoma who developed immune-related myocarditis in the fourth course of therapy with immune checkpoint inhibitors. The patient presented with precordial discomfort with elevation of cardiac enzymes and interleukin-6, atypical electrocardiographic abnormalities and reduced left ventricular ejection fraction. Coronary computed tomography angiography excluded the possibility of acute coronary syndrome. Therapy with tofacitinib targeting the Janus kinase-signal transducer and activator of transcription signal pathway was successfully conducted since there was no significant improvement in troponin under high dose-steroid and intravenous immunoglobulin treatment. The patient recovered without major adverse cardiac events during hospitalization. Discussion: The safety and efficacy of tofacitinib in a patient with steroid refractory immune-related myocarditis was investigated, hoping to provide a basis for prospective therapeutic strategies. Tofacitinib led to remarkable remissions in primary autoimmune disease by blocking the inflammatory cascade, indicating its potential therapeutic use in immune-related adverse events. |
| ISSN | 16643224 |
| DOI | 10.3389/fimmu.2022.944013 |
| Volume Number | 13 |
| Journal | Frontiers in Immunology |
| Language | English |
| Publisher Date | 2022-09-15 |
| Access Restriction | Open |
| Subject Keyword | Immnune checkpoint inhibitors Steroid-refractory Tofacitinib Myocarditis Immunosuppression |
| Content Type | Text |
| Resource Type | Article |
| Subject | Immunology and Allergy Immunology |
National Digital Library of India (NDLI) is a virtual repository of learning resources which is not just a repository with search/browse facilities but provides a host of services for the learner community. It is sponsored and mentored by Ministry of Education, Government of India, through its National Mission on Education through Information and Communication Technology (NMEICT). Filtered and federated searching is employed to facilitate focused searching so that learners can find the right resource with least effort and in minimum time. NDLI provides user group-specific services such as Examination Preparatory for School and College students and job aspirants. Services for Researchers and general learners are also provided. NDLI is designed to hold content of any language and provides interface support for 10 most widely used Indian languages. It is built to provide support for all academic levels including researchers and life-long learners, all disciplines, all popular forms of access devices and differently-abled learners. It is designed to enable people to learn and prepare from best practices from all over the world and to facilitate researchers to perform inter-linked exploration from multiple sources. It is developed, operated and maintained from Indian Institute of Technology Kharagpur.
Learn more about this project from here.
NDLI is a conglomeration of freely available or institutionally contributed or donated or publisher managed contents. Almost all these contents are hosted and accessed from respective sources. The responsibility for authenticity, relevance, completeness, accuracy, reliability and suitability of these contents rests with the respective organization and NDLI has no responsibility or liability for these. Every effort is made to keep the NDLI portal up and running smoothly unless there are some unavoidable technical issues.
Ministry of Education, through its National Mission on Education through Information and Communication Technology (NMEICT), has sponsored and funded the National Digital Library of India (NDLI) project.
| Sl. | Authority | Responsibilities | Communication Details |
|---|---|---|---|
| 1 | Ministry of Education (GoI), Department of Higher Education |
Sanctioning Authority | https://www.education.gov.in/ict-initiatives |
| 2 | Indian Institute of Technology Kharagpur | Host Institute of the Project: The host institute of the project is responsible for providing infrastructure support and hosting the project | https://www.iitkgp.ac.in |
| 3 | National Digital Library of India Office, Indian Institute of Technology Kharagpur | The administrative and infrastructural headquarters of the project | Dr. B. Sutradhar bsutra@ndl.gov.in |
| 4 | Project PI / Joint PI | Principal Investigator and Joint Principal Investigators of the project |
Dr. B. Sutradhar bsutra@ndl.gov.in Prof. Saswat Chakrabarti will be added soon |
| 5 | Website/Portal (Helpdesk) | Queries regarding NDLI and its services | support@ndl.gov.in |
| 6 | Contents and Copyright Issues | Queries related to content curation and copyright issues | content@ndl.gov.in |
| 7 | National Digital Library of India Club (NDLI Club) | Queries related to NDLI Club formation, support, user awareness program, seminar/symposium, collaboration, social media, promotion, and outreach | clubsupport@ndl.gov.in |
| 8 | Digital Preservation Centre (DPC) | Assistance with digitizing and archiving copyright-free printed books | dpc@ndl.gov.in |
| 9 | IDR Setup or Support | Queries related to establishment and support of Institutional Digital Repository (IDR) and IDR workshops | idr@ndl.gov.in |
|
Loading...
|