Please wait, while we are loading the content...
Please wait, while we are loading the content...
| Content Provider | Springer Nature : BioMed Central |
|---|---|
| Author | Xu, Xin Lu, Fen Du, Senjie Zhang, Li |
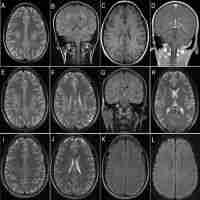
| Abstract | Background Charcot-Marie-Tooth disease (CMT) is a group of single-gene hereditary diseases of peripheral nerve with high clinical variability and genetic heterogeneity. The typical clinical manifestations include progressive muscle weakness and muscle atrophy in the distal extremities, accompanied by disappearance of tendon reflexes and distal sensory disturbances. CMT2A2 (OMIM: 609260) is caused by the mutation of MFN2 (OMIM: 608507), is the most common type of axonal pattern. Although a small number of patients with X-linked CMT1 (CMT1X) present with central nervous system involvement, including reversible white matter lesions, it is rarely in CMT2A2. Case presentation A 3-year and 5-month-old girl had experienced motor lag, muscle tension, and abnormal gait for over a year. A reexamination of cranial MRI revealed an anterior enlargement of the abnormal signal range in the lateral ventricles and bilateral frontal lobes. And the whole exon sequencing showed that this girl carried a heterozygous missense mutation c.314C > T of MNF2 gene, inherited from her mother. Conclusions In this study, we retrospectively analyzed the clinical and molecular genetic findings of a child with Charcot-Marie-Tooth disease A2 with central nervous system involvement as the initial presentation, and explored its pathogenic mechanism. |
| Related Links | https://bmcpediatr.biomedcentral.com/counter/pdf/10.1186/s12887-023-04441-z.pdf |
| Ending Page | 7 |
| Page Count | 7 |
| Starting Page | 1 |
| File Format | HTM / HTML |
| ISSN | 14712431 |
| DOI | 10.1186/s12887-023-04441-z |
| Journal | BMC Pediatrics |
| Issue Number | 1 |
| Volume Number | 24 |
| Language | English |
| Publisher | BioMed Central |
| Publisher Date | 2024-01-05 |
| Access Restriction | Open |
| Subject Keyword | Pediatrics Internal Medicine Charcot-Marie-Tooth disease type 2A2 MFN2 Cerebral nervous system |
| Content Type | Text |
| Resource Type | Case study |
| Subject | Pediatrics, Perinatology and Child Health |
| Journal Impact Factor | 2/2023 |
| 5-Year Journal Impact Factor | 2.4/2023 |
National Digital Library of India (NDLI) is a virtual repository of learning resources which is not just a repository with search/browse facilities but provides a host of services for the learner community. It is sponsored and mentored by Ministry of Education, Government of India, through its National Mission on Education through Information and Communication Technology (NMEICT). Filtered and federated searching is employed to facilitate focused searching so that learners can find the right resource with least effort and in minimum time. NDLI provides user group-specific services such as Examination Preparatory for School and College students and job aspirants. Services for Researchers and general learners are also provided. NDLI is designed to hold content of any language and provides interface support for 10 most widely used Indian languages. It is built to provide support for all academic levels including researchers and life-long learners, all disciplines, all popular forms of access devices and differently-abled learners. It is designed to enable people to learn and prepare from best practices from all over the world and to facilitate researchers to perform inter-linked exploration from multiple sources. It is developed, operated and maintained from Indian Institute of Technology Kharagpur.
Learn more about this project from here.
NDLI is a conglomeration of freely available or institutionally contributed or donated or publisher managed contents. Almost all these contents are hosted and accessed from respective sources. The responsibility for authenticity, relevance, completeness, accuracy, reliability and suitability of these contents rests with the respective organization and NDLI has no responsibility or liability for these. Every effort is made to keep the NDLI portal up and running smoothly unless there are some unavoidable technical issues.
Ministry of Education, through its National Mission on Education through Information and Communication Technology (NMEICT), has sponsored and funded the National Digital Library of India (NDLI) project.
| Sl. | Authority | Responsibilities | Communication Details |
|---|---|---|---|
| 1 | Ministry of Education (GoI), Department of Higher Education |
Sanctioning Authority | https://www.education.gov.in/ict-initiatives |
| 2 | Indian Institute of Technology Kharagpur | Host Institute of the Project: The host institute of the project is responsible for providing infrastructure support and hosting the project | https://www.iitkgp.ac.in |
| 3 | National Digital Library of India Office, Indian Institute of Technology Kharagpur | The administrative and infrastructural headquarters of the project | Dr. B. Sutradhar bsutra@ndl.gov.in |
| 4 | Project PI / Joint PI | Principal Investigator and Joint Principal Investigators of the project |
Dr. B. Sutradhar bsutra@ndl.gov.in Prof. Saswat Chakrabarti will be added soon |
| 5 | Website/Portal (Helpdesk) | Queries regarding NDLI and its services | support@ndl.gov.in |
| 6 | Contents and Copyright Issues | Queries related to content curation and copyright issues | content@ndl.gov.in |
| 7 | National Digital Library of India Club (NDLI Club) | Queries related to NDLI Club formation, support, user awareness program, seminar/symposium, collaboration, social media, promotion, and outreach | clubsupport@ndl.gov.in |
| 8 | Digital Preservation Centre (DPC) | Assistance with digitizing and archiving copyright-free printed books | dpc@ndl.gov.in |
| 9 | IDR Setup or Support | Queries related to establishment and support of Institutional Digital Repository (IDR) and IDR workshops | idr@ndl.gov.in |
|
Loading...
|