Please wait, while we are loading the content...
Please wait, while we are loading the content...
| Content Provider | Springer Nature : BioMed Central |
|---|---|
| Author | Xu, Ziyun Zhou, Zhaoguang Jang, Wentao Tian, Jianhong Hou, Gangqiang |
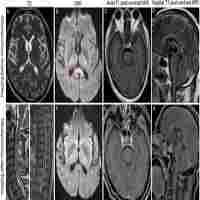
| Abstract | Background Reversible splenial lesion syndrome (RESLES) was reported to be associated with variable entities. However, much less is known about the cases in which the mental disorders act as the only manifestation. Method Total ten patients of RESLES were obtained in this retrospective study from Shenzhen Kangning Hospital. T1-fluid attenuated inversion recovery (T1-FLAIR), T2-weighted images, T2-FLAIR, diffusion-weighted images and apparent diffusion coefficient map were performed on all the patients. Clinical manifestations, laboratory examination results, magnetic resonance imaging (MRI) findings, treatments and outcomes were analyzed. Result All patients showed different mental disorders as the only manifestation. There were two cases of alcohol abuse, one of Asperger’s syndrome with malnutrition, one of infection and one of invasive pituitary adenoma. The other cases were diagnosis as major depressive disorder, dissociative and conversion disorders, undifferentiated somatoform disorder, unspecified psychosis and bipolar disorder, respectively. Three patients were completely recovered while the clinical symptoms of rest seven patients partially recovered at the follow-up three months later. Oval-shaped lesion centered on the splenial of corpus callosum (SCC) was observed in all patients using MRI. The lesions of SCC of all patients were completely resolved within five weeks. Conclusions We found that RESLES might only showed mental symptoms. On the one hand, for the patients with acute mental disorders, clinicians should be alert to the possibility of RESLES caused by physical disease. On the other hand, we suggest that mental disorder might be a precipitating factor of RESLES. |
| Related Links | https://bmcneurol.biomedcentral.com/counter/pdf/10.1186/s12883-021-02391-6.pdf |
| Ending Page | 7 |
| Page Count | 7 |
| Starting Page | 1 |
| File Format | HTM / HTML |
| ISSN | 14712377 |
| DOI | 10.1186/s12883-021-02391-6 |
| Journal | BMC Neurology |
| Issue Number | 1 |
| Volume Number | 21 |
| Language | English |
| Publisher | BioMed Central |
| Publisher Date | 2021-09-15 |
| Access Restriction | Open |
| Subject Keyword | Neurology Neurochemistry Neurosurgery Reversible splenial lesion syndrome Mental disorders Magnetic resonance imaging |
| Content Type | Text |
| Resource Type | Article |
| Subject | Neurology (clinical) |
| Journal Impact Factor | 2.2/2023 |
| 5-Year Journal Impact Factor | 2.5/2023 |
National Digital Library of India (NDLI) is a virtual repository of learning resources which is not just a repository with search/browse facilities but provides a host of services for the learner community. It is sponsored and mentored by Ministry of Education, Government of India, through its National Mission on Education through Information and Communication Technology (NMEICT). Filtered and federated searching is employed to facilitate focused searching so that learners can find the right resource with least effort and in minimum time. NDLI provides user group-specific services such as Examination Preparatory for School and College students and job aspirants. Services for Researchers and general learners are also provided. NDLI is designed to hold content of any language and provides interface support for 10 most widely used Indian languages. It is built to provide support for all academic levels including researchers and life-long learners, all disciplines, all popular forms of access devices and differently-abled learners. It is designed to enable people to learn and prepare from best practices from all over the world and to facilitate researchers to perform inter-linked exploration from multiple sources. It is developed, operated and maintained from Indian Institute of Technology Kharagpur.
Learn more about this project from here.
NDLI is a conglomeration of freely available or institutionally contributed or donated or publisher managed contents. Almost all these contents are hosted and accessed from respective sources. The responsibility for authenticity, relevance, completeness, accuracy, reliability and suitability of these contents rests with the respective organization and NDLI has no responsibility or liability for these. Every effort is made to keep the NDLI portal up and running smoothly unless there are some unavoidable technical issues.
Ministry of Education, through its National Mission on Education through Information and Communication Technology (NMEICT), has sponsored and funded the National Digital Library of India (NDLI) project.
| Sl. | Authority | Responsibilities | Communication Details |
|---|---|---|---|
| 1 | Ministry of Education (GoI), Department of Higher Education |
Sanctioning Authority | https://www.education.gov.in/ict-initiatives |
| 2 | Indian Institute of Technology Kharagpur | Host Institute of the Project: The host institute of the project is responsible for providing infrastructure support and hosting the project | https://www.iitkgp.ac.in |
| 3 | National Digital Library of India Office, Indian Institute of Technology Kharagpur | The administrative and infrastructural headquarters of the project | Dr. B. Sutradhar bsutra@ndl.gov.in |
| 4 | Project PI / Joint PI | Principal Investigator and Joint Principal Investigators of the project |
Dr. B. Sutradhar bsutra@ndl.gov.in Prof. Saswat Chakrabarti will be added soon |
| 5 | Website/Portal (Helpdesk) | Queries regarding NDLI and its services | support@ndl.gov.in |
| 6 | Contents and Copyright Issues | Queries related to content curation and copyright issues | content@ndl.gov.in |
| 7 | National Digital Library of India Club (NDLI Club) | Queries related to NDLI Club formation, support, user awareness program, seminar/symposium, collaboration, social media, promotion, and outreach | clubsupport@ndl.gov.in |
| 8 | Digital Preservation Centre (DPC) | Assistance with digitizing and archiving copyright-free printed books | dpc@ndl.gov.in |
| 9 | IDR Setup or Support | Queries related to establishment and support of Institutional Digital Repository (IDR) and IDR workshops | idr@ndl.gov.in |
|
Loading...
|