Please wait, while we are loading the content...
Please wait, while we are loading the content...
| Content Provider | Springer Nature : BioMed Central |
|---|---|
| Author | Zhang, Hanlu Wang, Zihao Zheng, Yu Wang, Fuqiang Geng, Yingcai Chen, Long-Qi Wang, Yun |
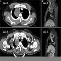
| Abstract | Background The authors presented a 63-year old female synchronously complicated with a thymic tumor located at the left-side of the superior mediastinum, and a paravertebral tumor located at the right-side of the lower thorax. Conventional thoracoscopic surgical procedure using rigid instruments to simultaneously resect the two tumors via the same ports might be technically challenging. To our knowledge, the use of a surgical robot allowed the surgeon to perform precise dissection from extreme angles with the characteristic of articulating surgical instruments. Case presentation Two lesions were successfully dissected using the da Vinci Surgical System through the same four ports on the right side of the chest and two-step docking. Firstly, the patient cart came from the dorsal side of the patient and the paravertebral neoplasm was dissected. Afterwards, the patient cart was undocked and the operation table was rotated 180 degrees counterclockwise. The robot was re-introduced and the patient cart came from the ventral side of the patient and the whole thymus was resected. Conclusion This case report suggests that two-step docking via the same four ports for these two tumors located at different directions of the thorax was safe and effective, demonstrating a clear advantage of the surgical robot. |
| Related Links | https://cardiothoracicsurgery.biomedcentral.com/counter/pdf/10.1186/s13019-019-0989-5.pdf |
| Ending Page | 4 |
| Page Count | 4 |
| Starting Page | 1 |
| File Format | HTM / HTML |
| ISSN | 17498090 |
| DOI | 10.1186/s13019-019-0989-5 |
| Journal | Journal of Cardiothoracic Surgery |
| Issue Number | 1 |
| Volume Number | 14 |
| Language | English |
| Publisher | BioMed Central |
| Publisher Date | 2019-10-29 |
| Access Restriction | Open |
| Subject Keyword | Cardiac Surgery Thoracic Surgery da Vinci Surgical System Mediastinal neoplasms Paravertebral neurogenic tumor |
| Content Type | Text |
| Resource Type | Case study |
| Subject | Surgery Cardiology and Cardiovascular Medicine Pulmonary and Respiratory Medicine |
| Journal Impact Factor | 1.5/2023 |
| 5-Year Journal Impact Factor | 1.6/2023 |
National Digital Library of India (NDLI) is a virtual repository of learning resources which is not just a repository with search/browse facilities but provides a host of services for the learner community. It is sponsored and mentored by Ministry of Education, Government of India, through its National Mission on Education through Information and Communication Technology (NMEICT). Filtered and federated searching is employed to facilitate focused searching so that learners can find the right resource with least effort and in minimum time. NDLI provides user group-specific services such as Examination Preparatory for School and College students and job aspirants. Services for Researchers and general learners are also provided. NDLI is designed to hold content of any language and provides interface support for 10 most widely used Indian languages. It is built to provide support for all academic levels including researchers and life-long learners, all disciplines, all popular forms of access devices and differently-abled learners. It is designed to enable people to learn and prepare from best practices from all over the world and to facilitate researchers to perform inter-linked exploration from multiple sources. It is developed, operated and maintained from Indian Institute of Technology Kharagpur.
Learn more about this project from here.
NDLI is a conglomeration of freely available or institutionally contributed or donated or publisher managed contents. Almost all these contents are hosted and accessed from respective sources. The responsibility for authenticity, relevance, completeness, accuracy, reliability and suitability of these contents rests with the respective organization and NDLI has no responsibility or liability for these. Every effort is made to keep the NDLI portal up and running smoothly unless there are some unavoidable technical issues.
Ministry of Education, through its National Mission on Education through Information and Communication Technology (NMEICT), has sponsored and funded the National Digital Library of India (NDLI) project.
| Sl. | Authority | Responsibilities | Communication Details |
|---|---|---|---|
| 1 | Ministry of Education (GoI), Department of Higher Education |
Sanctioning Authority | https://www.education.gov.in/ict-initiatives |
| 2 | Indian Institute of Technology Kharagpur | Host Institute of the Project: The host institute of the project is responsible for providing infrastructure support and hosting the project | https://www.iitkgp.ac.in |
| 3 | National Digital Library of India Office, Indian Institute of Technology Kharagpur | The administrative and infrastructural headquarters of the project | Dr. B. Sutradhar bsutra@ndl.gov.in |
| 4 | Project PI / Joint PI | Principal Investigator and Joint Principal Investigators of the project |
Dr. B. Sutradhar bsutra@ndl.gov.in Prof. Saswat Chakrabarti will be added soon |
| 5 | Website/Portal (Helpdesk) | Queries regarding NDLI and its services | support@ndl.gov.in |
| 6 | Contents and Copyright Issues | Queries related to content curation and copyright issues | content@ndl.gov.in |
| 7 | National Digital Library of India Club (NDLI Club) | Queries related to NDLI Club formation, support, user awareness program, seminar/symposium, collaboration, social media, promotion, and outreach | clubsupport@ndl.gov.in |
| 8 | Digital Preservation Centre (DPC) | Assistance with digitizing and archiving copyright-free printed books | dpc@ndl.gov.in |
| 9 | IDR Setup or Support | Queries related to establishment and support of Institutional Digital Repository (IDR) and IDR workshops | idr@ndl.gov.in |
|
Loading...
|