Please wait, while we are loading the content...
Please wait, while we are loading the content...
| Content Provider | Springer Nature : BioMed Central |
|---|---|
| Author | Hanifa, Hamdah Alhussein, Hussein Mahmandar, Lissa Kadi, Sara Najjar, Mahfoud Alhaj, Ahmad |
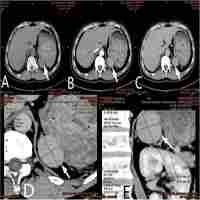
| Abstract | Background During embryogenesis, the spleen undergoes intricate developmental processes, originating from mesenchymal cells in the dorsal mesentery. An accessory spleen, a common anomaly found in autopsies and abdominal CT scans, can often be mistaken for different types of tumors. To the best of our knowledge, this is the first case in Syria documenting the occurrence of 3 accessory spleens in a patient who had previously undergone splenectomy. Case presentation A 33-year-old male presented with right hypochondrium pain, sharp and radiating to the right flank, exacerbated by movement and large meals. Past medical history included mild Irritable Bowel Syndrome (IBS) and splenectomy due to a traumatic accident in childhood. On admission, vital signs were stable, with abdominal tenderness in the right upper quadrant. Laboratory investigations showed normal values. Ultrasound revealed a lobulated mass at the right adrenal gland (4.5 × 5 cm) with an isoechoic to hypoechoic texture. Multi-slice computed tomography (MSCT) Scan showed multiple nodules in the right adrenal gland, regular in shape, exerting a compressive mass effect, and significant lymphadenopathy around the abdominal aorta. Elevated metanephrine levels raised suspicion of an extra-adrenal pheochromocytoma. Laparoscopic surgery was performed, revealing accessory spleens and normal adrenal tissue with no malignancy. Conclusion Healthcare providers should consider accessory spleens as a differential diagnosis for masses near the adrenal glands. Multiple accessory spleens in the adrenal region can complicate cases. Accessory spleens in uncommon locations like the adrenal glands can be challenging to diagnose and manage. |
| Related Links | https://intjem.biomedcentral.com/counter/pdf/10.1186/s12245-024-00758-3.pdf |
| Ending Page | 6 |
| Page Count | 6 |
| Starting Page | 1 |
| File Format | HTM / HTML |
| ISSN | 18651380 |
| DOI | 10.1186/s12245-024-00758-3 |
| Journal | International Journal of Emergency Medicine |
| Issue Number | 1 |
| Volume Number | 17 |
| Language | English |
| Publisher | BioMed Central |
| Publisher Date | 2024-11-12 |
| Access Restriction | Open |
| Subject Keyword | Emergency Medicine Internal Medicine Cardiology Angiology Pediatrics Accessory spleen Case report Misdiagnosis Splenosis Pheochromocytoma Adrenal tumour |
| Content Type | Text |
| Resource Type | Case study |
| Subject | Emergency Medicine |
National Digital Library of India (NDLI) is a virtual repository of learning resources which is not just a repository with search/browse facilities but provides a host of services for the learner community. It is sponsored and mentored by Ministry of Education, Government of India, through its National Mission on Education through Information and Communication Technology (NMEICT). Filtered and federated searching is employed to facilitate focused searching so that learners can find the right resource with least effort and in minimum time. NDLI provides user group-specific services such as Examination Preparatory for School and College students and job aspirants. Services for Researchers and general learners are also provided. NDLI is designed to hold content of any language and provides interface support for 10 most widely used Indian languages. It is built to provide support for all academic levels including researchers and life-long learners, all disciplines, all popular forms of access devices and differently-abled learners. It is designed to enable people to learn and prepare from best practices from all over the world and to facilitate researchers to perform inter-linked exploration from multiple sources. It is developed, operated and maintained from Indian Institute of Technology Kharagpur.
Learn more about this project from here.
NDLI is a conglomeration of freely available or institutionally contributed or donated or publisher managed contents. Almost all these contents are hosted and accessed from respective sources. The responsibility for authenticity, relevance, completeness, accuracy, reliability and suitability of these contents rests with the respective organization and NDLI has no responsibility or liability for these. Every effort is made to keep the NDLI portal up and running smoothly unless there are some unavoidable technical issues.
Ministry of Education, through its National Mission on Education through Information and Communication Technology (NMEICT), has sponsored and funded the National Digital Library of India (NDLI) project.
| Sl. | Authority | Responsibilities | Communication Details |
|---|---|---|---|
| 1 | Ministry of Education (GoI), Department of Higher Education |
Sanctioning Authority | https://www.education.gov.in/ict-initiatives |
| 2 | Indian Institute of Technology Kharagpur | Host Institute of the Project: The host institute of the project is responsible for providing infrastructure support and hosting the project | https://www.iitkgp.ac.in |
| 3 | National Digital Library of India Office, Indian Institute of Technology Kharagpur | The administrative and infrastructural headquarters of the project | Dr. B. Sutradhar bsutra@ndl.gov.in |
| 4 | Project PI / Joint PI | Principal Investigator and Joint Principal Investigators of the project |
Dr. B. Sutradhar bsutra@ndl.gov.in Prof. Saswat Chakrabarti will be added soon |
| 5 | Website/Portal (Helpdesk) | Queries regarding NDLI and its services | support@ndl.gov.in |
| 6 | Contents and Copyright Issues | Queries related to content curation and copyright issues | content@ndl.gov.in |
| 7 | National Digital Library of India Club (NDLI Club) | Queries related to NDLI Club formation, support, user awareness program, seminar/symposium, collaboration, social media, promotion, and outreach | clubsupport@ndl.gov.in |
| 8 | Digital Preservation Centre (DPC) | Assistance with digitizing and archiving copyright-free printed books | dpc@ndl.gov.in |
| 9 | IDR Setup or Support | Queries related to establishment and support of Institutional Digital Repository (IDR) and IDR workshops | idr@ndl.gov.in |
|
Loading...
|