Please wait, while we are loading the content...
Please wait, while we are loading the content...
| Content Provider | PubMed Central |
|---|---|
| Author | Na, Soo Jin Koh, Yoon-seok Kim, Tae-hoon Park, Sun-chul Shin, Woo-seung Chun, Ho-jong Lee, Jong-min |
| Copyright Year | 2014 |
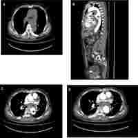
| Abstract | A 51-yr-old man presented exertional dyspnea as a consequence of iliocaval fistula combined with paradoxical pulmonary embolism and high-output heart failure. Endovascular stent-graft repair was performed to cover iliocaval fistula and restore the heart function. After the procedure, dyspnea was improved and procedure related complication was not seen. A 6-month follow-up computed tomography showed regression of pulmonary thromboembolism and well-positioned stent-graft without graft migration, aortacaval communication or endoleak. Stent graft implantation should be considered an alternative of open repair surgery for treament of abdominal arteriovenous fisula, especially in patient with high risk for surgery. |
| Related Links | http://dx.doi.org/10.3346/jkms.2014.29.2.296 |
| Starting Page | 296 |
| File Format | |
| ISSN | 10118934 |
| e-ISSN | 15986357 |
| Journal | Journal of Korean Medical Science |
| Issue Number | 2 |
| Volume Number | 29 |
| Language | English |
| Publisher | The Korean Academy of Medical Sciences |
| Publisher Date | 2014-01-01 |
| Access Restriction | Open |
| Rights Holder | The Korean Academy of Medical Sciences |
| Subject Keyword | Medicine(all) Research in Higher Education |
| Content Type | Text |
| Resource Type | Article |
| Subject | Medicine |
National Digital Library of India (NDLI) is a virtual repository of learning resources which is not just a repository with search/browse facilities but provides a host of services for the learner community. It is sponsored and mentored by Ministry of Education, Government of India, through its National Mission on Education through Information and Communication Technology (NMEICT). Filtered and federated searching is employed to facilitate focused searching so that learners can find the right resource with least effort and in minimum time. NDLI provides user group-specific services such as Examination Preparatory for School and College students and job aspirants. Services for Researchers and general learners are also provided. NDLI is designed to hold content of any language and provides interface support for 10 most widely used Indian languages. It is built to provide support for all academic levels including researchers and life-long learners, all disciplines, all popular forms of access devices and differently-abled learners. It is designed to enable people to learn and prepare from best practices from all over the world and to facilitate researchers to perform inter-linked exploration from multiple sources. It is developed, operated and maintained from Indian Institute of Technology Kharagpur.
Learn more about this project from here.
NDLI is a conglomeration of freely available or institutionally contributed or donated or publisher managed contents. Almost all these contents are hosted and accessed from respective sources. The responsibility for authenticity, relevance, completeness, accuracy, reliability and suitability of these contents rests with the respective organization and NDLI has no responsibility or liability for these. Every effort is made to keep the NDLI portal up and running smoothly unless there are some unavoidable technical issues.
Ministry of Education, through its National Mission on Education through Information and Communication Technology (NMEICT), has sponsored and funded the National Digital Library of India (NDLI) project.
| Sl. | Authority | Responsibilities | Communication Details |
|---|---|---|---|
| 1 | Ministry of Education (GoI), Department of Higher Education |
Sanctioning Authority | https://www.education.gov.in/ict-initiatives |
| 2 | Indian Institute of Technology Kharagpur | Host Institute of the Project: The host institute of the project is responsible for providing infrastructure support and hosting the project | https://www.iitkgp.ac.in |
| 3 | National Digital Library of India Office, Indian Institute of Technology Kharagpur | The administrative and infrastructural headquarters of the project | Dr. B. Sutradhar bsutra@ndl.gov.in |
| 4 | Project PI / Joint PI | Principal Investigator and Joint Principal Investigators of the project |
Dr. B. Sutradhar bsutra@ndl.gov.in Prof. Saswat Chakrabarti will be added soon |
| 5 | Website/Portal (Helpdesk) | Queries regarding NDLI and its services | support@ndl.gov.in |
| 6 | Contents and Copyright Issues | Queries related to content curation and copyright issues | content@ndl.gov.in |
| 7 | National Digital Library of India Club (NDLI Club) | Queries related to NDLI Club formation, support, user awareness program, seminar/symposium, collaboration, social media, promotion, and outreach | clubsupport@ndl.gov.in |
| 8 | Digital Preservation Centre (DPC) | Assistance with digitizing and archiving copyright-free printed books | dpc@ndl.gov.in |
| 9 | IDR Setup or Support | Queries related to establishment and support of Institutional Digital Repository (IDR) and IDR workshops | idr@ndl.gov.in |
|
Loading...
|