Loading...
Please wait, while we are loading the content...
Similar Documents
Clinical Parameters and Epigenetic Biomarkers of Plaque Vulnerability in Patients with Carotid Stenosis
| Content Provider | MDPI |
|---|---|
| Author | Mikel, Terceño Carme, Gubern-Mérida Carballo-Perich, Laia Puigoriol-Illamola, Dolors Bashir, Saima Silva, Yolanda Serena, Joaquín |
| Copyright Year | 2022 |
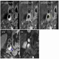
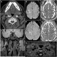
| Description | Atheromatous disease is the first cause of death and dependency in developed countries and carotid artery atherosclerosis is one of the main causes of severe ischaemic strokes. Current management strategies are mainly based on the degree of stenosis and patient selection has limited accuracy. This information could be complemented by the identification of biomarkers of plaque vulnerability, which would permit patients at greater and lesser risk of stroke to be distinguished, thus enabling a better selection of patients for surgical or intensive medical treatment. Although several circulating protein-based biomarkers with significance for both the diagnosis of carotid artery disease and its prognosis have been identified, at present, none have been clinically implemented. This review focuses especially on the most relevant clinical parameters to take into account in routine clinical practice and summarises the most up-to-date data on epigenetic biomarkers of carotid atherosclerosis and plaque vulnerability. |
| Starting Page | 5149 |
| e-ISSN | 14220067 |
| DOI | 10.3390/ijms23095149 |
| Journal | International Journal of Molecular Sciences |
| Issue Number | 9 |
| Volume Number | 23 |
| Language | English |
| Publisher | MDPI |
| Publisher Date | 2022-05-05 |
| Access Restriction | Open |
| Subject Keyword | International Journal of Molecular Sciences Hematology Biomarker Carotid Artery Stenosis Stroke Neuroimaging Epigenetics Vulnerable Plaque Atherosclerosis |
| Content Type | Text |
| Resource Type | Article |