Please wait, while we are loading the content...
Please wait, while we are loading the content...
| Content Provider | World Health Organization (WHO)-Global Index Medicus |
|---|---|
| Author | Zhao, Deng-Ling Deng, Gang Xie, Bo Gao, Bo Peng, Cheng-Yu Nie, Fang Yang, Ming Ju, Shenghong Teng, Gao-Jun |
| Description | Country affiliation: China Author Affiliation: Zhao DL ( a Department of Radiology, Zhongda Hospital, School of Medicine , Southeast University , Nanjing, Jiangsu Province , China.); Deng G ( a Department of Radiology, Zhongda Hospital, School of Medicine , Southeast University , Nanjing, Jiangsu Province , China.); Xie B ( a Department of Radiology, Zhongda Hospital, School of Medicine , Southeast University , Nanjing, Jiangsu Province , China.); Gao B ( b Department of Radiology , Yuhuangding Hospital , Yantai, Shandong Province , China.); Peng CY ( a Department of Radiology, Zhongda Hospital, School of Medicine , Southeast University , Nanjing, Jiangsu Province , China.); Nie F ( a Department of Radiology, Zhongda Hospital, School of Medicine , Southeast University , Nanjing, Jiangsu Province , China.); Yang M ( a Department of Radiology, Zhongda Hospital, School of Medicine , Southeast University , Nanjing, Jiangsu Province , China.); Ju S ( a Department of Radiology, Zhongda Hospital, School of Medicine , Southeast University , Nanjing, Jiangsu Province , China.); Teng GJ ( a Department of Radiology, Zhongda Hospital, School of Medicine , Southeast University , Nanjing, Jiangsu Province , China.) |
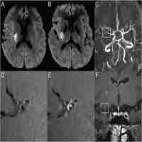
| Abstract | OBJECTIVE: To evaluate the characteristics of atherosclerotic middle cerebral artery (MCA) stenosis by high-resolution magnetic resonance imaging (HR-MRI) and determine the relationship between wall characteristics and infarction patterns. METHODS: Thirty-six patients with acute ischaemic stroke due to MCA stenosis underwent diffusion-weighted magnetic resonance imaging (DWI) and HR MRI. Wall characteristics of MCA, including irregular surface, superior location, T2-hyperintense of plaques and positive remodelling (PR), were analysed. Characteristics of acute infarct on DWI were categorised according to the number (single or multiple infarcts) and the pattern of cerebral infarcts (cortical, border zone or perforating artery territory infarcts). The relationship between wall characteristics and infarction patterns was evaluated. RESULTS: PR was observed in 20 patients, irregular surface plaque in 18 patients, superior location of plaques in 14 patients and T2-hyperintense foci in 13 patients. Seventeen patients had multiple acute cerebral infarcts and 13 showed single acute cerebral infarcts. Border zone infarcts were the most common (76.5%) among multiple acute infarcts. Penetrating artery infarcts (PAI) accounted for 76.9% of all single infarcts. Multiple infarcts were more frequently observed in patients with PR (P = 0.007) or plaque surface irregularity (P = 0.035). Single infarcts, especially PAI, were more prevalent in patients with superior plaque (P = 0.030). No statistically significant differences were observed between multiple and single infarcts in patients with T2-hyperintense lesions (P = 0.638). CONCLUSIONS: PR or irregular surface plaques were associated with artery-to-artery embolism. Superior location of plaques was associated with PAI. HR-MRI provides insights into intracranial atherosclerosis in vivo, predictive of infarction patterns. |
| File Format | HTM / HTML |
| ISSN | 01616412 |
| e-ISSN | 17431328 |
| Journal | Neurological Research |
| Issue Number | 7 |
| Volume Number | 38 |
| Language | English |
| Publisher | Taylor & Francis |
| Publisher Date | 2016-07-01 |
| Publisher Place | Great Britain (UK) |
| Access Restriction | One Nation One Subscription (ONOS) |
| Subject Keyword | Discipline Neurology |
| Content Type | Text |
| Resource Type | Article |
| Subject | Neurology Neurology (clinical) |
National Digital Library of India (NDLI) is a virtual repository of learning resources which is not just a repository with search/browse facilities but provides a host of services for the learner community. It is sponsored and mentored by Ministry of Education, Government of India, through its National Mission on Education through Information and Communication Technology (NMEICT). Filtered and federated searching is employed to facilitate focused searching so that learners can find the right resource with least effort and in minimum time. NDLI provides user group-specific services such as Examination Preparatory for School and College students and job aspirants. Services for Researchers and general learners are also provided. NDLI is designed to hold content of any language and provides interface support for 10 most widely used Indian languages. It is built to provide support for all academic levels including researchers and life-long learners, all disciplines, all popular forms of access devices and differently-abled learners. It is designed to enable people to learn and prepare from best practices from all over the world and to facilitate researchers to perform inter-linked exploration from multiple sources. It is developed, operated and maintained from Indian Institute of Technology Kharagpur.
Learn more about this project from here.
NDLI is a conglomeration of freely available or institutionally contributed or donated or publisher managed contents. Almost all these contents are hosted and accessed from respective sources. The responsibility for authenticity, relevance, completeness, accuracy, reliability and suitability of these contents rests with the respective organization and NDLI has no responsibility or liability for these. Every effort is made to keep the NDLI portal up and running smoothly unless there are some unavoidable technical issues.
Ministry of Education, through its National Mission on Education through Information and Communication Technology (NMEICT), has sponsored and funded the National Digital Library of India (NDLI) project.
| Sl. | Authority | Responsibilities | Communication Details |
|---|---|---|---|
| 1 | Ministry of Education (GoI), Department of Higher Education |
Sanctioning Authority | https://www.education.gov.in/ict-initiatives |
| 2 | Indian Institute of Technology Kharagpur | Host Institute of the Project: The host institute of the project is responsible for providing infrastructure support and hosting the project | https://www.iitkgp.ac.in |
| 3 | National Digital Library of India Office, Indian Institute of Technology Kharagpur | The administrative and infrastructural headquarters of the project | Dr. B. Sutradhar bsutra@ndl.gov.in |
| 4 | Project PI / Joint PI | Principal Investigator and Joint Principal Investigators of the project |
Dr. B. Sutradhar bsutra@ndl.gov.in Prof. Saswat Chakrabarti will be added soon |
| 5 | Website/Portal (Helpdesk) | Queries regarding NDLI and its services | support@ndl.gov.in |
| 6 | Contents and Copyright Issues | Queries related to content curation and copyright issues | content@ndl.gov.in |
| 7 | National Digital Library of India Club (NDLI Club) | Queries related to NDLI Club formation, support, user awareness program, seminar/symposium, collaboration, social media, promotion, and outreach | clubsupport@ndl.gov.in |
| 8 | Digital Preservation Centre (DPC) | Assistance with digitizing and archiving copyright-free printed books | dpc@ndl.gov.in |
| 9 | IDR Setup or Support | Queries related to establishment and support of Institutional Digital Repository (IDR) and IDR workshops | idr@ndl.gov.in |
|
Loading...
|