Please wait, while we are loading the content...
Please wait, while we are loading the content...
| Content Provider | Springer Nature : BioMed Central |
|---|---|
| Author | Mendez, Elvin M. |
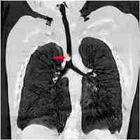
| Abstract | Background Allergic rhinitis is the most common allergic disease encountered in a primary care setting. Diagnosis is often made clinically based on response to empiric therapy. However, with long-term treatment failure and/or atypical disease presentation, a differential diagnosis should be considered. The following is a report of an unusual and rare presentation of a subglottic tracheal angiomyomatous hamartoma in an adolescent, treated for many years as allergic rhinoconjunctivitis and asthma. Case presentation A 12-year-old Caucasian was referred to the allergy clinic with a lifetime history of bronchospasms and rhinoconjunctivitis symptoms, treated for many years for asthma and environmental allergies. Cough, posterior nasal drainage, self-described “choking on phlegm,” and a sensation of “a flap in the throat,”, worsened 5 months prior to the initial evaluation. Puncture skin testing for common environmental allergens was negative. Spirometry, performed due to history of chronic cough, showed blunting of the forced expiratory phase. A chest X-ray, immediately ordered to rule out possible extrapulmonary obstruction, showed bilateral bibasilar infiltrates. A noncontrast computerized tomographic scan of the chest, ordered to further elucidate X-ray findings, revealed a subglottic tracheal mass. Following a subsequent transfer and admission to a tertiary hospital center, microlaryngoscopy, bronchoscopy, and microsuspension laryngoscopy were performed to remove the tracheal mass. Pathology confirmed squamous mucosa with polypoid angiomyomatous changes and chronic inflammatory features consistent with angiomyomatous hamartoma. Surgical intervention was successful, and follow-up 1 year postoperatively revealed a healthy, asymptomatic adolescent child with normal lung function. Conclusions Although posterior nasal drainage and cough are typical presenting symptoms in the general patient population, they may be clinically impactful as they could disguise more serious medical conditions. A detailed history and careful physical examination may provide a high index of suspicion of disease, and can help work the differential diagnosis. This case presentation is the first documentation of subglottic hamartoma reported in the pediatric literature with clinical manifestation of environmental allergy and asthma symptoms. |
| Related Links | https://jmedicalcasereports.biomedcentral.com/counter/pdf/10.1186/s13256-021-03218-1.pdf |
| Ending Page | 7 |
| Page Count | 7 |
| Starting Page | 1 |
| File Format | HTM / HTML |
| ISSN | 17521947 |
| DOI | 10.1186/s13256-021-03218-1 |
| Journal | Journal of Medical Case Reports |
| Issue Number | 1 |
| Volume Number | 16 |
| Language | English |
| Publisher | BioMed Central |
| Publisher Date | 2022-01-17 |
| Access Restriction | Open |
| Subject Keyword | Medicine Public Health General Practice Family Medicine Primary Care Medicine Surgical Oncology Internal Medicine Case report Allergic rhinitis Asthma Childhood hamartoma Cough Dysphagia Endotracheal tumors Hamartoma Postnasal drip Tracheal tumors Vocal cord dysfunction Medicine/Public Health |
| Content Type | Text |
| Resource Type | Case study |
| Subject | Medicine |
| Journal Impact Factor | 0.9/2023 |
National Digital Library of India (NDLI) is a virtual repository of learning resources which is not just a repository with search/browse facilities but provides a host of services for the learner community. It is sponsored and mentored by Ministry of Education, Government of India, through its National Mission on Education through Information and Communication Technology (NMEICT). Filtered and federated searching is employed to facilitate focused searching so that learners can find the right resource with least effort and in minimum time. NDLI provides user group-specific services such as Examination Preparatory for School and College students and job aspirants. Services for Researchers and general learners are also provided. NDLI is designed to hold content of any language and provides interface support for 10 most widely used Indian languages. It is built to provide support for all academic levels including researchers and life-long learners, all disciplines, all popular forms of access devices and differently-abled learners. It is designed to enable people to learn and prepare from best practices from all over the world and to facilitate researchers to perform inter-linked exploration from multiple sources. It is developed, operated and maintained from Indian Institute of Technology Kharagpur.
Learn more about this project from here.
NDLI is a conglomeration of freely available or institutionally contributed or donated or publisher managed contents. Almost all these contents are hosted and accessed from respective sources. The responsibility for authenticity, relevance, completeness, accuracy, reliability and suitability of these contents rests with the respective organization and NDLI has no responsibility or liability for these. Every effort is made to keep the NDLI portal up and running smoothly unless there are some unavoidable technical issues.
Ministry of Education, through its National Mission on Education through Information and Communication Technology (NMEICT), has sponsored and funded the National Digital Library of India (NDLI) project.
| Sl. | Authority | Responsibilities | Communication Details |
|---|---|---|---|
| 1 | Ministry of Education (GoI), Department of Higher Education |
Sanctioning Authority | https://www.education.gov.in/ict-initiatives |
| 2 | Indian Institute of Technology Kharagpur | Host Institute of the Project: The host institute of the project is responsible for providing infrastructure support and hosting the project | https://www.iitkgp.ac.in |
| 3 | National Digital Library of India Office, Indian Institute of Technology Kharagpur | The administrative and infrastructural headquarters of the project | Dr. B. Sutradhar bsutra@ndl.gov.in |
| 4 | Project PI / Joint PI | Principal Investigator and Joint Principal Investigators of the project |
Dr. B. Sutradhar bsutra@ndl.gov.in Prof. Saswat Chakrabarti will be added soon |
| 5 | Website/Portal (Helpdesk) | Queries regarding NDLI and its services | support@ndl.gov.in |
| 6 | Contents and Copyright Issues | Queries related to content curation and copyright issues | content@ndl.gov.in |
| 7 | National Digital Library of India Club (NDLI Club) | Queries related to NDLI Club formation, support, user awareness program, seminar/symposium, collaboration, social media, promotion, and outreach | clubsupport@ndl.gov.in |
| 8 | Digital Preservation Centre (DPC) | Assistance with digitizing and archiving copyright-free printed books | dpc@ndl.gov.in |
| 9 | IDR Setup or Support | Queries related to establishment and support of Institutional Digital Repository (IDR) and IDR workshops | idr@ndl.gov.in |
|
Loading...
|