Please wait, while we are loading the content...
Please wait, while we are loading the content...
| Content Provider | Springer Nature : BioMed Central |
|---|---|
| Author | Demirci, Ilhan Kinkel, Horst Antoine, Dirk Szynaka, Marc Klosterhalfen, Bernd Herold, Susanne Janßen, Hermann |
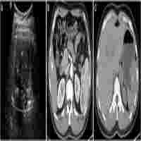
| Abstract | Background Sclerosing angiomatoid nodular transformation is a benign disorder of splenic tissue and is often mistaken as a potentially malignant entity in the diagnostic process. To the best of our knowledge, this is the first report of sclerosing angiomatoid nodular transformation mimicking metastasis of melanoma in the literature. Case presentation A 43-year-old white man presented with a newly found splenic mass 4 years ago to our Department of Gastroenterology. He was diagnosed as having a superficial spreading malignant melanoma localized at his left instep 7 years ago and was successfully treated with radical local resection. Several diagnostic procedures were conducted. Ultrasound showed a hypoechoic lesion in the inferior pole of his spleen with a diameter of 2 cm, blurred boundaries, and inhomogeneous interior pattern. Contrast-enhanced ultrasound was inconclusive and showed only discrete contrast enhancement of the lesion with accentuated nodule-like enrichment of the boundaries in the arterial phase. Computed tomography and magnetic resonance imaging scans showed two splenic lesions which were highly suspicious of metastasis. Magnetic resonance imaging of his head was inconspicuous. Bone scintigraphy showed no abnormal results. Fine-needle aspiration indicated metastasis of the above-mentioned malignant melanoma. We conducted a laparoscopic splenectomy. His intraoperative and postoperative course were uneventful. In contrast to the result of the fine-needle aspiration, the presence of metastasis of melanoma could not be confirmed. Histological analysis revealed nodule-like arrangement of fibroblasts with low cell density and a predominance of dilated capillaries, indicating sclerosing angiomatoid nodular transformation of the spleen. Conclusions There are no preoperative diagnostic imaging procedures which can definitely differentiate sclerosing angiomatoid nodular transformation from malignancies in cases of morphological and immunophenotypic variations of the specimen. Morphological and immunophenotypic variations of the specimen represent a diagnostic challenge and can mimic malignoma. As reported in our case, the specimen obtained by ultrasound-guided fine-needle aspiration led to the diagnosis of metastasis of melanoma. Splenectomy is often conducted due to a splenic mass suspicious of malignoma as described in our case or with unknown valency in different diagnostic imaging procedures. |
| Related Links | https://jmedicalcasereports.biomedcentral.com/counter/pdf/10.1186/s13256-017-1400-6.pdf |
| Ending Page | 6 |
| Page Count | 6 |
| Starting Page | 1 |
| File Format | HTM / HTML |
| ISSN | 17521947 |
| DOI | 10.1186/s13256-017-1400-6 |
| Journal | Journal of Medical Case Reports |
| Issue Number | 1 |
| Volume Number | 11 |
| Language | English |
| Publisher | BioMed Central |
| Publisher Date | 2017-09-03 |
| Access Restriction | Open |
| Subject Keyword | Medicine Public Health General Practice Family Medicine Primary Care Medicine Surgical Oncology Internal Medicine Sclerosing angiomatoid nodular transformation of the spleen Contrast-enhanced ultrasound Mimicking Metastasis of melanoma Splenectomy Medicine/Public Health |
| Content Type | Text |
| Resource Type | Case study |
| Subject | Medicine |
| Journal Impact Factor | 0.9/2023 |
National Digital Library of India (NDLI) is a virtual repository of learning resources which is not just a repository with search/browse facilities but provides a host of services for the learner community. It is sponsored and mentored by Ministry of Education, Government of India, through its National Mission on Education through Information and Communication Technology (NMEICT). Filtered and federated searching is employed to facilitate focused searching so that learners can find the right resource with least effort and in minimum time. NDLI provides user group-specific services such as Examination Preparatory for School and College students and job aspirants. Services for Researchers and general learners are also provided. NDLI is designed to hold content of any language and provides interface support for 10 most widely used Indian languages. It is built to provide support for all academic levels including researchers and life-long learners, all disciplines, all popular forms of access devices and differently-abled learners. It is designed to enable people to learn and prepare from best practices from all over the world and to facilitate researchers to perform inter-linked exploration from multiple sources. It is developed, operated and maintained from Indian Institute of Technology Kharagpur.
Learn more about this project from here.
NDLI is a conglomeration of freely available or institutionally contributed or donated or publisher managed contents. Almost all these contents are hosted and accessed from respective sources. The responsibility for authenticity, relevance, completeness, accuracy, reliability and suitability of these contents rests with the respective organization and NDLI has no responsibility or liability for these. Every effort is made to keep the NDLI portal up and running smoothly unless there are some unavoidable technical issues.
Ministry of Education, through its National Mission on Education through Information and Communication Technology (NMEICT), has sponsored and funded the National Digital Library of India (NDLI) project.
| Sl. | Authority | Responsibilities | Communication Details |
|---|---|---|---|
| 1 | Ministry of Education (GoI), Department of Higher Education |
Sanctioning Authority | https://www.education.gov.in/ict-initiatives |
| 2 | Indian Institute of Technology Kharagpur | Host Institute of the Project: The host institute of the project is responsible for providing infrastructure support and hosting the project | https://www.iitkgp.ac.in |
| 3 | National Digital Library of India Office, Indian Institute of Technology Kharagpur | The administrative and infrastructural headquarters of the project | Dr. B. Sutradhar bsutra@ndl.gov.in |
| 4 | Project PI / Joint PI | Principal Investigator and Joint Principal Investigators of the project |
Dr. B. Sutradhar bsutra@ndl.gov.in Prof. Saswat Chakrabarti will be added soon |
| 5 | Website/Portal (Helpdesk) | Queries regarding NDLI and its services | support@ndl.gov.in |
| 6 | Contents and Copyright Issues | Queries related to content curation and copyright issues | content@ndl.gov.in |
| 7 | National Digital Library of India Club (NDLI Club) | Queries related to NDLI Club formation, support, user awareness program, seminar/symposium, collaboration, social media, promotion, and outreach | clubsupport@ndl.gov.in |
| 8 | Digital Preservation Centre (DPC) | Assistance with digitizing and archiving copyright-free printed books | dpc@ndl.gov.in |
| 9 | IDR Setup or Support | Queries related to establishment and support of Institutional Digital Repository (IDR) and IDR workshops | idr@ndl.gov.in |
|
Loading...
|