Please wait, while we are loading the content...
Please wait, while we are loading the content...
| Content Provider | Springer Nature : BioMed Central |
|---|---|
| Author | Liu, Cassie Lele, Subodh M. Goodenberger, Martin H. Reiser, Gwendolyn M. Christiansen, Andrew J. Padussis, James C. |
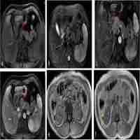
| Abstract | Background Tuberous sclerosis complex (TSC) is a rare, autosomal dominant genetic disease that arises from TSC1 or TSC2 genetic mutations. These genetic mutations can induce the development of benign tumors in any organ system with significant clinical implications in morbidity and mortality. In rare instances, patients with TSC can have malignant tumors, including renal cell carcinoma (RCC) and pancreatic neuroendocrine tumor (PNET). It is considered a hereditary renal cancer syndrome despite the low incidence of RCC in TSC patients. TSC is typically diagnosed in prenatal and pediatric patients and frequently associated with neurocognitive disorders and seizures, which are often experienced early in life. However, penetrance and expressivity of TSC mutations are highly variable. Herein, we present a case report, with associated literature, to highlight that there exist undiagnosed adult patients with less penetrant features, whose clinical presentation may contain non-classical signs and symptoms, who have pathogenic TSC mutations. Case presentation A 31-year-old female with past medical history of leiomyomas status post myomectomy presented to the emergency department for a hemorrhagic adnexal cyst. Imaging incidentally identified a renal mass suspicious for RCC. Out of concern for hereditary leiomyomatosis and renal cell carcinoma (HLRCC) syndrome, the mass was surgically removed and confirmed as RCC. Discussion with medical genetics ascertained a family history of kidney cancer and nephrectomy procedures and a patient history of ungual fibromas on the toes. Genetic testing for hereditary kidney cancer revealed a 5’UTR deletion in the TSC1 gene, leading to a diagnosis of TSC. Following the diagnosis, dermatology found benign skin findings consistent with TSC. About six months after the incidental finding of RCC, a PNET in the pancreatic body/tail was incidentally found on chest CT imaging, which was removed and determined to be a well-differentiated PNET. Later, a brain MRI revealed two small cortical tubers, one in each frontal lobe, that were asymptomatic; the patient’s history and family history did not contain seizures or learning delays. The patient presently shows no evidence of recurrence or metastatic disease, and no additional malignant tumors have been identified. Conclusions To our knowledge, this is the first report in the literature of a TSC patient without a history of neurocognitive disorders with RCC and PNET, both independently rare occurrences in TSC. The patient had a strong family history of renal disease, including RCC, and had several other clinical manifestations of TSC, including skin and brain findings. The incidental finding and surgical removal of RCC prompted the genetic evaluation and diagnosis of TSC, leading to a comparably late diagnosis for this patient. Reporting the broad spectrum of disease for TSC, including more malignant phenotypes such as the one seen in our patient, can help healthcare providers better identify patients who need genetic evaluation and additional medical care. |
| Related Links | https://bmcmedgenomics.biomedcentral.com/counter/pdf/10.1186/s12920-024-01913-8.pdf |
| Ending Page | 13 |
| Page Count | 13 |
| Starting Page | 1 |
| File Format | HTM / HTML |
| ISSN | 17558794 |
| DOI | 10.1186/s12920-024-01913-8 |
| Journal | BMC Medical Genomics |
| Issue Number | 1 |
| Volume Number | 17 |
| Language | English |
| Publisher | BioMed Central |
| Publisher Date | 2024-05-27 |
| Access Restriction | Open |
| Subject Keyword | Human Genetics Microarrays Gene Expression TSC1 gene mutation Tuberous sclerosis complex Renal cell carcinoma Pancreatic neuroendocrine tumor Case report |
| Content Type | Text |
| Resource Type | Case study |
| Subject | Genetics (clinical) Genetics |
| Journal Impact Factor | 2.1/2023 |
| 5-Year Journal Impact Factor | 2.5/2023 |
National Digital Library of India (NDLI) is a virtual repository of learning resources which is not just a repository with search/browse facilities but provides a host of services for the learner community. It is sponsored and mentored by Ministry of Education, Government of India, through its National Mission on Education through Information and Communication Technology (NMEICT). Filtered and federated searching is employed to facilitate focused searching so that learners can find the right resource with least effort and in minimum time. NDLI provides user group-specific services such as Examination Preparatory for School and College students and job aspirants. Services for Researchers and general learners are also provided. NDLI is designed to hold content of any language and provides interface support for 10 most widely used Indian languages. It is built to provide support for all academic levels including researchers and life-long learners, all disciplines, all popular forms of access devices and differently-abled learners. It is designed to enable people to learn and prepare from best practices from all over the world and to facilitate researchers to perform inter-linked exploration from multiple sources. It is developed, operated and maintained from Indian Institute of Technology Kharagpur.
Learn more about this project from here.
NDLI is a conglomeration of freely available or institutionally contributed or donated or publisher managed contents. Almost all these contents are hosted and accessed from respective sources. The responsibility for authenticity, relevance, completeness, accuracy, reliability and suitability of these contents rests with the respective organization and NDLI has no responsibility or liability for these. Every effort is made to keep the NDLI portal up and running smoothly unless there are some unavoidable technical issues.
Ministry of Education, through its National Mission on Education through Information and Communication Technology (NMEICT), has sponsored and funded the National Digital Library of India (NDLI) project.
| Sl. | Authority | Responsibilities | Communication Details |
|---|---|---|---|
| 1 | Ministry of Education (GoI), Department of Higher Education |
Sanctioning Authority | https://www.education.gov.in/ict-initiatives |
| 2 | Indian Institute of Technology Kharagpur | Host Institute of the Project: The host institute of the project is responsible for providing infrastructure support and hosting the project | https://www.iitkgp.ac.in |
| 3 | National Digital Library of India Office, Indian Institute of Technology Kharagpur | The administrative and infrastructural headquarters of the project | Dr. B. Sutradhar bsutra@ndl.gov.in |
| 4 | Project PI / Joint PI | Principal Investigator and Joint Principal Investigators of the project |
Dr. B. Sutradhar bsutra@ndl.gov.in Prof. Saswat Chakrabarti will be added soon |
| 5 | Website/Portal (Helpdesk) | Queries regarding NDLI and its services | support@ndl.gov.in |
| 6 | Contents and Copyright Issues | Queries related to content curation and copyright issues | content@ndl.gov.in |
| 7 | National Digital Library of India Club (NDLI Club) | Queries related to NDLI Club formation, support, user awareness program, seminar/symposium, collaboration, social media, promotion, and outreach | clubsupport@ndl.gov.in |
| 8 | Digital Preservation Centre (DPC) | Assistance with digitizing and archiving copyright-free printed books | dpc@ndl.gov.in |
| 9 | IDR Setup or Support | Queries related to establishment and support of Institutional Digital Repository (IDR) and IDR workshops | idr@ndl.gov.in |
|
Loading...
|