Please wait, while we are loading the content...
Please wait, while we are loading the content...
| Content Provider | Springer Nature : BioMed Central |
|---|---|
| Author | Quinn, Mark Bashari, Waiel Smith, Diarmuid Gurnell, Mark Agha, Amar |
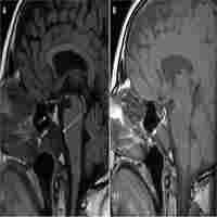
| Abstract | Background Graves’ disease is the commonest cause of thyrotoxicosis whilst thyrotropin (TSH)-producing pituitary adenomas (thyrotropinomas, TSHomas) are very rare and account for just 1–2% of all pituitary adenomas. Coexistence of a TSHoma and Graves’ disease has been very rarely reported. Here, we report a case of a patient whose initial presentation with primary thyrotoxicosis due to Graves’ disease, was subsequently followed by a relapse of thyrotoxicosis due to a probable TSHoma. Case A sixty-eight year old woman was referred to our department with classical features of thyrotoxicosis. Initial biochemistry confirmed hyperthyroxinaemia [free thyroxine (fT4) 20.4 pmol/L (reference range 7.0–16.0)] and a suppressed TSH [< 0.02mIU/L (0.50–4.20)]. A technetium pertechnetate uptake scan was consistent with Graves’ Disease. She was treated with carbimazole for 18 months and remained clinically and biochemically euthyroid. After stopping carbimazole her fT4 started to rise but TSH remained normal. Laboratory assay interference was excluded. A TRH stimulation test demonstrated a flat TSH response and pituitary MRI revealed a microadenoma. Remaining pituitary hormones were in the normal range other than a slightly raised IGF-1. An 11C-methionine PET/CT scan coregistered with volumetric MRI (Met-PET-MRICR) demonstrated high tracer uptake in the left lateral sella region suggestive of a functioning adenoma. The patient declined surgery and was unable to tolerate cabergoline or octreotide. Thereafter, she has elected to pursue a conservative approach with periodic surveillance. Conclusion This is a very unusual case of thyrotoxicosis caused by two different processes occurring in the same patient. It highlights the importance of considering dual pathology when previously concordant thyroid function tests become discordant. It also highlights a potential role of Met-PET-MRICR in the localisation of functioning pituitary tumours. |
| Related Links | https://bmcendocrdisord.biomedcentral.com/counter/pdf/10.1186/s12902-020-00611-7.pdf |
| Ending Page | 7 |
| Page Count | 7 |
| Starting Page | 1 |
| File Format | HTM / HTML |
| ISSN | 14726823 |
| DOI | 10.1186/s12902-020-00611-7 |
| Journal | BMC Endocrine Disorders |
| Issue Number | 1 |
| Volume Number | 20 |
| Language | English |
| Publisher | BioMed Central |
| Publisher Date | 2020-08-27 |
| Access Restriction | Open |
| Subject Keyword | Endocrinology Metabolic Diseases Diabetes Andrology Graves’ disease TSH-secreting pituitary adenoma TSHoma Thyrotropinoma Coexistent primary and secondary hyperthyroidism |
| Content Type | Text |
| Resource Type | Case study |
| Subject | Endocrinology, Diabetes and Metabolism |
| Journal Impact Factor | 2.8/2023 |
| 5-Year Journal Impact Factor | 3.1/2023 |
National Digital Library of India (NDLI) is a virtual repository of learning resources which is not just a repository with search/browse facilities but provides a host of services for the learner community. It is sponsored and mentored by Ministry of Education, Government of India, through its National Mission on Education through Information and Communication Technology (NMEICT). Filtered and federated searching is employed to facilitate focused searching so that learners can find the right resource with least effort and in minimum time. NDLI provides user group-specific services such as Examination Preparatory for School and College students and job aspirants. Services for Researchers and general learners are also provided. NDLI is designed to hold content of any language and provides interface support for 10 most widely used Indian languages. It is built to provide support for all academic levels including researchers and life-long learners, all disciplines, all popular forms of access devices and differently-abled learners. It is designed to enable people to learn and prepare from best practices from all over the world and to facilitate researchers to perform inter-linked exploration from multiple sources. It is developed, operated and maintained from Indian Institute of Technology Kharagpur.
Learn more about this project from here.
NDLI is a conglomeration of freely available or institutionally contributed or donated or publisher managed contents. Almost all these contents are hosted and accessed from respective sources. The responsibility for authenticity, relevance, completeness, accuracy, reliability and suitability of these contents rests with the respective organization and NDLI has no responsibility or liability for these. Every effort is made to keep the NDLI portal up and running smoothly unless there are some unavoidable technical issues.
Ministry of Education, through its National Mission on Education through Information and Communication Technology (NMEICT), has sponsored and funded the National Digital Library of India (NDLI) project.
| Sl. | Authority | Responsibilities | Communication Details |
|---|---|---|---|
| 1 | Ministry of Education (GoI), Department of Higher Education |
Sanctioning Authority | https://www.education.gov.in/ict-initiatives |
| 2 | Indian Institute of Technology Kharagpur | Host Institute of the Project: The host institute of the project is responsible for providing infrastructure support and hosting the project | https://www.iitkgp.ac.in |
| 3 | National Digital Library of India Office, Indian Institute of Technology Kharagpur | The administrative and infrastructural headquarters of the project | Dr. B. Sutradhar bsutra@ndl.gov.in |
| 4 | Project PI / Joint PI | Principal Investigator and Joint Principal Investigators of the project |
Dr. B. Sutradhar bsutra@ndl.gov.in Prof. Saswat Chakrabarti will be added soon |
| 5 | Website/Portal (Helpdesk) | Queries regarding NDLI and its services | support@ndl.gov.in |
| 6 | Contents and Copyright Issues | Queries related to content curation and copyright issues | content@ndl.gov.in |
| 7 | National Digital Library of India Club (NDLI Club) | Queries related to NDLI Club formation, support, user awareness program, seminar/symposium, collaboration, social media, promotion, and outreach | clubsupport@ndl.gov.in |
| 8 | Digital Preservation Centre (DPC) | Assistance with digitizing and archiving copyright-free printed books | dpc@ndl.gov.in |
| 9 | IDR Setup or Support | Queries related to establishment and support of Institutional Digital Repository (IDR) and IDR workshops | idr@ndl.gov.in |
|
Loading...
|