Please wait, while we are loading the content...
Please wait, while we are loading the content...
| Content Provider | Springer Nature : BioMed Central |
|---|---|
| Author | Meng, Haipeng Liu, Jinchao Xu, Hui Wang, Song Rong, Yu Xu, Yanling Yu, Gang |
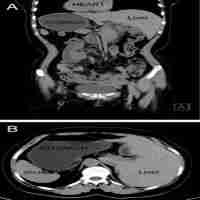
| Abstract | Background Despite increasing acceptance in colorectal surgery, natural orifice specimen extraction (NOSE) surgery for the treatment of gastric cancer is still in its infancy, especially via the transrectal approach, which was barely reported. So little is known about its complications. Here we report the first case of proctotomy leak after transrectal NOSE gastrectomy, and our experience in preventive interventions. Case presentation A 62-year-old male patient complaining of upper abdominal pain who underwent open distal gastrectomy for gastric cancer one year ago was diagnosed with recurrent gastric cancer by gastroscopic biopsy. We performed laparoscopic total gastrectomy with transrectal specimen extraction on the patient. The operation was completed in a total laparoscopic approach and the specimen was extracted through a 3 cm longitudinal incision in the anterior wall of the upper rectum, then interrupted sutures were used for full-thickness closure of the rectal incision. The operative time was 470 min and intra-operative blood loss was 100 mL. The postoperative pathological examination showed pT1bN0M0 gastric adenocarcinoma. The patient developed proctotomy leak on the 10th postoperative day. We analyzed the causes of this rare complication and put forward a series of technical improvements. After failure of conservative treatment, a diverting ileostomy was created and the patient eventually recovered. We successfully prevented proctotomy leak in the subsequent 20 transrectal NOSE gastrectomies using improved techniques. Conclusions Proctotomy leak after transrectal specimen extraction should be considered among the complications of NOSE surgery and can be prevented by technical precautions. |
| Related Links | https://bmcsurg.biomedcentral.com/counter/pdf/10.1186/s12893-021-01217-z.pdf |
| Ending Page | 4 |
| Page Count | 4 |
| Starting Page | 1 |
| File Format | HTM / HTML |
| ISSN | 14712482 |
| DOI | 10.1186/s12893-021-01217-z |
| Journal | BMC Surgery |
| Issue Number | 1 |
| Volume Number | 21 |
| Language | English |
| Publisher | BioMed Central |
| Publisher Date | 2021-04-27 |
| Access Restriction | Open |
| Subject Keyword | Surgery Internal Medicine Gastric cancer Laparoscopic gastrectomy Natural orifice specimen extraction Proctotomy leak Case report |
| Content Type | Text |
| Resource Type | Case study |
| Subject | Surgery |
| Journal Impact Factor | 1.6/2023 |
| 5-Year Journal Impact Factor | 1.9/2023 |
National Digital Library of India (NDLI) is a virtual repository of learning resources which is not just a repository with search/browse facilities but provides a host of services for the learner community. It is sponsored and mentored by Ministry of Education, Government of India, through its National Mission on Education through Information and Communication Technology (NMEICT). Filtered and federated searching is employed to facilitate focused searching so that learners can find the right resource with least effort and in minimum time. NDLI provides user group-specific services such as Examination Preparatory for School and College students and job aspirants. Services for Researchers and general learners are also provided. NDLI is designed to hold content of any language and provides interface support for 10 most widely used Indian languages. It is built to provide support for all academic levels including researchers and life-long learners, all disciplines, all popular forms of access devices and differently-abled learners. It is designed to enable people to learn and prepare from best practices from all over the world and to facilitate researchers to perform inter-linked exploration from multiple sources. It is developed, operated and maintained from Indian Institute of Technology Kharagpur.
Learn more about this project from here.
NDLI is a conglomeration of freely available or institutionally contributed or donated or publisher managed contents. Almost all these contents are hosted and accessed from respective sources. The responsibility for authenticity, relevance, completeness, accuracy, reliability and suitability of these contents rests with the respective organization and NDLI has no responsibility or liability for these. Every effort is made to keep the NDLI portal up and running smoothly unless there are some unavoidable technical issues.
Ministry of Education, through its National Mission on Education through Information and Communication Technology (NMEICT), has sponsored and funded the National Digital Library of India (NDLI) project.
| Sl. | Authority | Responsibilities | Communication Details |
|---|---|---|---|
| 1 | Ministry of Education (GoI), Department of Higher Education |
Sanctioning Authority | https://www.education.gov.in/ict-initiatives |
| 2 | Indian Institute of Technology Kharagpur | Host Institute of the Project: The host institute of the project is responsible for providing infrastructure support and hosting the project | https://www.iitkgp.ac.in |
| 3 | National Digital Library of India Office, Indian Institute of Technology Kharagpur | The administrative and infrastructural headquarters of the project | Dr. B. Sutradhar bsutra@ndl.gov.in |
| 4 | Project PI / Joint PI | Principal Investigator and Joint Principal Investigators of the project |
Dr. B. Sutradhar bsutra@ndl.gov.in Prof. Saswat Chakrabarti will be added soon |
| 5 | Website/Portal (Helpdesk) | Queries regarding NDLI and its services | support@ndl.gov.in |
| 6 | Contents and Copyright Issues | Queries related to content curation and copyright issues | content@ndl.gov.in |
| 7 | National Digital Library of India Club (NDLI Club) | Queries related to NDLI Club formation, support, user awareness program, seminar/symposium, collaboration, social media, promotion, and outreach | clubsupport@ndl.gov.in |
| 8 | Digital Preservation Centre (DPC) | Assistance with digitizing and archiving copyright-free printed books | dpc@ndl.gov.in |
| 9 | IDR Setup or Support | Queries related to establishment and support of Institutional Digital Repository (IDR) and IDR workshops | idr@ndl.gov.in |
|
Loading...
|