Please wait, while we are loading the content...
Please wait, while we are loading the content...
| Content Provider | Springer Nature : BioMed Central |
|---|---|
| Author | Shan, Xiaoxi Li, Zhishu Dong, Lixia |
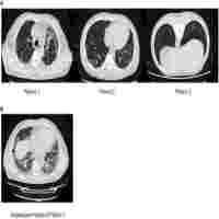
| Abstract | This report describes the case of a 41-year-old male patient complaining of a hacking cough. The patient was treated with a Janus kinase (JAK) inhibitor for psoriasis. Blood tests revealed mild lymphopenia and high levels of serum cryptococcal antigen. Chest computed tomography revealed infection in the lower lobe of the left lung. Metagenomic next-generation sequencing of bronchoalveolar lavage fluid revealed Tropheryma whipplei. Tropheryma whipplei and Cryptococcus antimicrobial therapies were sequentially administered. During follow-up, the patient showed clinical and radiographic improvement. Tropheryma whipplei is an opportunistic Gram-positive rod-shaped bacterium belonging to the family Actinomycetes. Lung involvement is an unusual but classic manifestation of Whipple’s disease. This is the first report of pneumonia caused by infection with Tropheryma whipplei complicated by Cryptococcus. To our knowledge, this is the first case report of Tropheryma whipplei infection following the use of JAK inhibitors. Clinicians should be aware of opportunistic infections that can occur during treatment with JAK inhibitors. |
| Related Links | https://bmcpulmmed.biomedcentral.com/counter/pdf/10.1186/s12890-024-03401-2.pdf |
| Ending Page | 7 |
| Page Count | 7 |
| Starting Page | 1 |
| File Format | HTM / HTML |
| ISSN | 14712466 |
| DOI | 10.1186/s12890-024-03401-2 |
| Journal | BMC Pulmonary Medicine |
| Issue Number | 1 |
| Volume Number | 24 |
| Language | English |
| Publisher | BioMed Central |
| Publisher Date | 2024-12-20 |
| Access Restriction | Open |
| Subject Keyword | Pneumology Respiratory System Internal Medicine Intensive Critical Care Medicine Pneumonia Opportunistic infection Actinomycetes Metagenomics next-generation sequencing Pneumology/Respiratory System |
| Content Type | Text |
| Resource Type | Case study |
| Subject | Pulmonary and Respiratory Medicine |
| Journal Impact Factor | 2.6/2023 |
| 5-Year Journal Impact Factor | 3/2023 |
National Digital Library of India (NDLI) is a virtual repository of learning resources which is not just a repository with search/browse facilities but provides a host of services for the learner community. It is sponsored and mentored by Ministry of Education, Government of India, through its National Mission on Education through Information and Communication Technology (NMEICT). Filtered and federated searching is employed to facilitate focused searching so that learners can find the right resource with least effort and in minimum time. NDLI provides user group-specific services such as Examination Preparatory for School and College students and job aspirants. Services for Researchers and general learners are also provided. NDLI is designed to hold content of any language and provides interface support for 10 most widely used Indian languages. It is built to provide support for all academic levels including researchers and life-long learners, all disciplines, all popular forms of access devices and differently-abled learners. It is designed to enable people to learn and prepare from best practices from all over the world and to facilitate researchers to perform inter-linked exploration from multiple sources. It is developed, operated and maintained from Indian Institute of Technology Kharagpur.
Learn more about this project from here.
NDLI is a conglomeration of freely available or institutionally contributed or donated or publisher managed contents. Almost all these contents are hosted and accessed from respective sources. The responsibility for authenticity, relevance, completeness, accuracy, reliability and suitability of these contents rests with the respective organization and NDLI has no responsibility or liability for these. Every effort is made to keep the NDLI portal up and running smoothly unless there are some unavoidable technical issues.
Ministry of Education, through its National Mission on Education through Information and Communication Technology (NMEICT), has sponsored and funded the National Digital Library of India (NDLI) project.
| Sl. | Authority | Responsibilities | Communication Details |
|---|---|---|---|
| 1 | Ministry of Education (GoI), Department of Higher Education |
Sanctioning Authority | https://www.education.gov.in/ict-initiatives |
| 2 | Indian Institute of Technology Kharagpur | Host Institute of the Project: The host institute of the project is responsible for providing infrastructure support and hosting the project | https://www.iitkgp.ac.in |
| 3 | National Digital Library of India Office, Indian Institute of Technology Kharagpur | The administrative and infrastructural headquarters of the project | Dr. B. Sutradhar bsutra@ndl.gov.in |
| 4 | Project PI / Joint PI | Principal Investigator and Joint Principal Investigators of the project |
Dr. B. Sutradhar bsutra@ndl.gov.in Prof. Saswat Chakrabarti will be added soon |
| 5 | Website/Portal (Helpdesk) | Queries regarding NDLI and its services | support@ndl.gov.in |
| 6 | Contents and Copyright Issues | Queries related to content curation and copyright issues | content@ndl.gov.in |
| 7 | National Digital Library of India Club (NDLI Club) | Queries related to NDLI Club formation, support, user awareness program, seminar/symposium, collaboration, social media, promotion, and outreach | clubsupport@ndl.gov.in |
| 8 | Digital Preservation Centre (DPC) | Assistance with digitizing and archiving copyright-free printed books | dpc@ndl.gov.in |
| 9 | IDR Setup or Support | Queries related to establishment and support of Institutional Digital Repository (IDR) and IDR workshops | idr@ndl.gov.in |
|
Loading...
|