Please wait, while we are loading the content...
Please wait, while we are loading the content...
| Content Provider | Springer Nature : BioMed Central |
|---|---|
| Author | Lei, Jia-ying Chen, Han Zhou, Dun-hua Xu, Lu-hong Fang, Jian-pei Mai, You-gang |
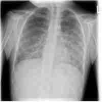
| Abstract | Background Immune reconstitution inflammatory syndrome (IRIS) refers to the phenomenon of intense immune responses against pathogens in patients with AIDS undergoing antiretroviral therapy to reconstitute immune function, resulting in functional impairment of multiple organs. Non-AIDS immunosuppressed hosts may also develop similar manifestations to IRIS during immune recovery. Case presentation An 8-year-old girl presented with acute lymphoblastic leukaemia was admitted for scheduled chemotherapy treatment. During chemotherapy, she experienced pancytopenia and Pneumocystis jirovecii pneumonia, which was diagnosed based on the abnormal shadows observed on chest computed tomography, the elevation of serum β-D-glucan, and the positive mNGS results of Pneumocystis jirovecii in both sputum and blood. After treatment with Granulocyte Colony-Stimulating Factor, sulfamethoxazole, and caspofungin, aggravation of lung lesions was discovered and severe interstitial lung disease developed in a short period along with a rapidly increasing leukocyte count. Intravenous methylprednisolone pulse therapy was given, but lung function did not improve, and she finally died after the withdrawal of medical care. Conclusions For patients with acute lymphocytic leukaemia infected with Pneumocystis jirovecii, the rapid aggravation of pulmonary lesions in the process of blood recovery and immune reconstitution should raise vigilance against the possibility of IRIS-like reactions. The use of granulocyte stimulating factors may aggravate the inflammatory response in the lungs. The timing, dosage, and duration of treatment of glucocorticoids and the impact of high-dose methylprednisolone pulse therapy on the prognosis of patients should be explored in further research. |
| Related Links | https://bmcpediatr.biomedcentral.com/counter/pdf/10.1186/s12887-022-03441-9.pdf |
| Ending Page | 6 |
| Page Count | 6 |
| Starting Page | 1 |
| File Format | HTM / HTML |
| ISSN | 14712431 |
| DOI | 10.1186/s12887-022-03441-9 |
| Journal | BMC Pediatrics |
| Issue Number | 1 |
| Volume Number | 22 |
| Language | English |
| Publisher | BioMed Central |
| Publisher Date | 2022-07-12 |
| Access Restriction | Open |
| Subject Keyword | Pediatrics Internal Medicine Immune reconstitution inflammatory syndrome-like phenomenon Acute lymphocytic leukaemia Pneumocystis Jirovecii pneumonia |
| Content Type | Text |
| Resource Type | Case study |
| Subject | Pediatrics, Perinatology and Child Health |
| Journal Impact Factor | 2/2023 |
| 5-Year Journal Impact Factor | 2.4/2023 |
National Digital Library of India (NDLI) is a virtual repository of learning resources which is not just a repository with search/browse facilities but provides a host of services for the learner community. It is sponsored and mentored by Ministry of Education, Government of India, through its National Mission on Education through Information and Communication Technology (NMEICT). Filtered and federated searching is employed to facilitate focused searching so that learners can find the right resource with least effort and in minimum time. NDLI provides user group-specific services such as Examination Preparatory for School and College students and job aspirants. Services for Researchers and general learners are also provided. NDLI is designed to hold content of any language and provides interface support for 10 most widely used Indian languages. It is built to provide support for all academic levels including researchers and life-long learners, all disciplines, all popular forms of access devices and differently-abled learners. It is designed to enable people to learn and prepare from best practices from all over the world and to facilitate researchers to perform inter-linked exploration from multiple sources. It is developed, operated and maintained from Indian Institute of Technology Kharagpur.
Learn more about this project from here.
NDLI is a conglomeration of freely available or institutionally contributed or donated or publisher managed contents. Almost all these contents are hosted and accessed from respective sources. The responsibility for authenticity, relevance, completeness, accuracy, reliability and suitability of these contents rests with the respective organization and NDLI has no responsibility or liability for these. Every effort is made to keep the NDLI portal up and running smoothly unless there are some unavoidable technical issues.
Ministry of Education, through its National Mission on Education through Information and Communication Technology (NMEICT), has sponsored and funded the National Digital Library of India (NDLI) project.
| Sl. | Authority | Responsibilities | Communication Details |
|---|---|---|---|
| 1 | Ministry of Education (GoI), Department of Higher Education |
Sanctioning Authority | https://www.education.gov.in/ict-initiatives |
| 2 | Indian Institute of Technology Kharagpur | Host Institute of the Project: The host institute of the project is responsible for providing infrastructure support and hosting the project | https://www.iitkgp.ac.in |
| 3 | National Digital Library of India Office, Indian Institute of Technology Kharagpur | The administrative and infrastructural headquarters of the project | Dr. B. Sutradhar bsutra@ndl.gov.in |
| 4 | Project PI / Joint PI | Principal Investigator and Joint Principal Investigators of the project |
Dr. B. Sutradhar bsutra@ndl.gov.in Prof. Saswat Chakrabarti will be added soon |
| 5 | Website/Portal (Helpdesk) | Queries regarding NDLI and its services | support@ndl.gov.in |
| 6 | Contents and Copyright Issues | Queries related to content curation and copyright issues | content@ndl.gov.in |
| 7 | National Digital Library of India Club (NDLI Club) | Queries related to NDLI Club formation, support, user awareness program, seminar/symposium, collaboration, social media, promotion, and outreach | clubsupport@ndl.gov.in |
| 8 | Digital Preservation Centre (DPC) | Assistance with digitizing and archiving copyright-free printed books | dpc@ndl.gov.in |
| 9 | IDR Setup or Support | Queries related to establishment and support of Institutional Digital Repository (IDR) and IDR workshops | idr@ndl.gov.in |
|
Loading...
|