Loading...
Please wait, while we are loading the content...
Similar Documents
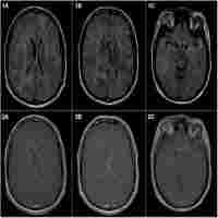
Teaching NeuroImages: diffuse cerebral neurosarcoidosis mimicking gliomatosis cerebri.
| Content Provider | Semantic Scholar |
|---|---|
| Author | Ramanathan, Ramnath Santosh Malhotra, Konark Scott, Thomas F. |
| Copyright Year | 2013 |
| Abstract | A 30-year-old man with a history of bipolar disease presented with 6 months of cognitive decline, unsteady gait, urinary retention, and bilateral upper extremity tremors. Multiple punctate enhancing lesions were seen on brain MRI (figure). Differential diagnosis included infection (viral, tuberculosis, or cryptococcus), toxic leukoencephalopathy, gliomatosis cerebri, angiocentric lymphoma, and neurosarcoidosis. CT chest scan, CSF studies, HIV testing, hepatitis panel, drug screen, and vasculitis panel were negative. Brain biopsy revealed neurosarcoidosis. The patient responded well to high-dose steroids and IV cyclophosphamide. MRI in neurosarcoidosis often reveals enhancing periventricular white matter lesions, in this case mimicking diffuse gliomatosis cerebri.1,2 |
| Starting Page | e46 |
| Ending Page | e46 |
| Page Count | 1 |
| File Format | PDF HTM / HTML |
| DOI | 10.1212/WNL.0b013e3182a08d47 |
| PubMed reference number | 23940026 |
| Journal | Medline |
| Volume Number | 81 |
| Issue Number | 7 |
| Alternate Webpage(s) | http://n.neurology.org/content/neurology/81/7/e46.full.pdf |
| Alternate Webpage(s) | http://www.neurology.org/content/81/7/e46.full.pdf |
| Alternate Webpage(s) | https://doi.org/10.1212/WNL.0b013e3182a08d47 |
| Journal | Neurology |
| Language | English |
| Access Restriction | Open |
| Content Type | Text |
| Resource Type | Article |