Loading...
Please wait, while we are loading the content...
Similar Documents
Cerebral microbleeds (CMBs) – relevance for mechanisms of cerebral hemorrhage – analysis of 24 MRI evaluated patients
| Content Provider | Semantic Scholar |
|---|---|
| Author | Ghelmez, D. Tuţă, S. Sorin Popa, C. |
| Copyright Year | 2013 |
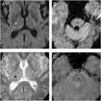
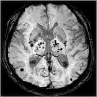
| Abstract | INTRODUCTION The new MRI techniques introduced in the last decade allowed the detection of cerebral microbleeds (CMBs) in different groups of diseases: stroke, Alzheimer disease, vascular dementia or healthy people of advanced age. CMBs are radiologically defined as small, rounded, homogeneous, hypointense lesions on T2*-weighed gradient-recalled echo (T2*-GRE) sequences. OBJECTIVE AND METHOD We evaluated the prevalence, number and location of CBMs in a cohort of 26 consecutive cerebral hemorrhage patients admitted in the National Institute of Neurology and Neurovascular Diseases. We also assessed the association between CMB, classical vascular risk factors and small vessel disease. RESULTS AND CONCLUSIONS From the 26 patients, 2 patients had secondary intracerebral hemorrhage (ICH) (hemorrhage in metastasis, respectively a cavernoma). From the 24 ICH patients 12 have had at least 1 CMB lesion. The average volume of the cerebral hemorrhage was larger in patients with CMBs, with a relative increase of 42%. Small vessel disease was associated with a significant increase in the presence of CMBs (relative increase of 86%). In both cases, however, since the number of patients enrolled was small, the correlations did not reach statistical significance. |
| Starting Page | 437 |
| Ending Page | 439 |
| Page Count | 3 |
| File Format | PDF HTM / HTML |
| PubMed reference number | 24868257 |
| Journal | Medline |
| Volume Number | 6 |
| Alternate Webpage(s) | http://ftp.ncbi.nlm.nih.gov/pub/pmc/49/88/JMedLife-06-437.PMC4034296.pdf |
| Journal | Journal of medicine and life |
| Language | English |
| Access Restriction | Open |
| Content Type | Text |
| Resource Type | Article |