Loading...
Please wait, while we are loading the content...
Similar Documents
Radiofrequency ablation with systemic chemotherapy in the treatment of colorectal cancer liver metastasis: a 10-year single-center study
| Content Provider | Scilit |
|---|---|
| Author | Ou, Shuangyan Xu, Ruocai Li, Ke Chen, Yong Kong, Yi Liu, Hanchun Li, Jianliang Ouyang, Yongzhong Yu, Xiaoping |
| Copyright Year | 2018 |
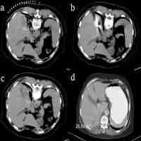
| Description | Radiofrequency ablation with systemic chemotherapy in the treatment of colorectal cancer liver metastasis: a 10-year single-center study Shuangyan Ou,1 Ruocai Xu,1 Ke Li,1 Yong Chen,1 Yi Kong,1 Hanchun Liu,1 Jianliang Li,1 Yongzhong Ouyang,2 Xiaoping Yu3 1Department of Hepatobiliary and Pancreatic Medicine, Hunan Cancer Hospital, Changsha City, Hunan Province, China; 2Department of Gastroduodenal Surgery, Hunan Provincial Cancer Hospital, Changsha City, Hunan Province, China; 3Department of Radiology, Hunan Cancer Hospital, Changsha City, Hunan Province, China Objective: To retrospectively evaluate the long-term efficacy and safety of radiofrequency ablation (RFA) with systemic chemotherapy (CT) in treatment of solitary liver metastasis after surgery for colorectal cancer (CRC). Methods: This single-center study was conducted at the Hunan Provincial Cancer Hospital from June 2006 to December 2015 with median follow-up time of 26 months. Percutaneous ultrasound-guided RFA was carried out on eligible patients with solitary liver metastasis after surgery for CRC. After a week, ablation status was confirmed by MRI. Post MRI, all patients received systemic CT with or without molecular-targeted therapy. Survival rate was evaluated and survival curve was constructed with Kaplan–Meier analysis. Log-rank test and Cox regression model were used for univariate and multivariate analysis, respectively, to determine the independent prognostic factors for survival rate. Results: A total of 109 eligible patients (mean age, 53.84±11.71; mean tumor mass diameter, 3.4+2.01 cm) were enrolled in this 10-year study. After RFA, 95 patients achieved complete ablation, and 14 patients achieved partial ablation, with median ablation time of 26 minutes (range: 12–120 minutes). The median survival time required for achieving complete and partial ablation was 56.0 and 19.0 months, respectively (P |
| Related Links | https://www.ncbi.nlm.nih.gov/pmc/articles/PMC6217171/pdf https://www.dovepress.com/getfile.php?fileID=45797 |
| Ending Page | 5237 |
| Page Count | 11 |
| Starting Page | 5227 |
| ISSN | 11791322 |
| DOI | 10.2147/cmar.s170160 |
| Journal | Cancer Management and Research |
| Volume Number | 10 |
| Language | English |
| Publisher | Informa UK Limited |
| Publisher Date | 2018-10-01 |
| Access Restriction | Open |
| Subject Keyword | Integrative and Complementary Medicine Colorectal Cancer Liver Metastasis Radiofrequency Assay Survival Systemic Chemotherapy Ultrasound |
| Content Type | Text |
| Resource Type | Article |
| Subject | Oncology |