Please wait, while we are loading the content...
Please wait, while we are loading the content...
| Content Provider | PubMed Central |
|---|---|
| Author | Gao, Guang-xun Tang, Hai-long Zhang, Xuan Xin, Xiao-li Feng, Juan Chen, Xie-qun |
| Copyright Year | 2015 |
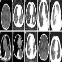
| Abstract | Geotrichum capitatum infection has a very low incidence rate with atypical clinical symptoms, making diagnosis difficult, and it has a poor prognosis. The incidence is even more rare in China. This paper reports the first case of infection caused by G. capitatum during bone marrow suppression after chemotherapy in a Chinese patient with acute lymphoblastic leukemia. In addition, it reports a systematic literature review of diagnosis and treatment. The patient with acute lymphoblastic leukemia was confirmed to be infected with G. capitatum, involving lung, liver and skin, through a blood culture test. Caspofungin, amphotericin B loposome, and a combination therapy of amphotericin B liposome and voriconazole were used in succession for treatment. Despite normal body temperature and a slight improvement of clinical symptoms with the combination therapy treatment, the patient died 40 days after chemotherapy due to heart and lung failure. |
| Ending Page | 14235 |
| Starting Page | 14228 |
| File Format | |
| ISSN | 19405901 |
| e-ISSN | 19405901 |
| Journal | International Journal of Clinical and Experimental Medicine |
| Issue Number | 8 |
| Volume Number | 8 |
| Language | English |
| Publisher | e-Century Publishing Corporation |
| Publisher Date | 2015-08-15 |
| Access Restriction | Open |
| Rights Holder | e-Century Publishing Corporation |
| Subject Keyword | Research in Higher Education |
| Content Type | Text |
| Resource Type | Article |
| Subject | Biochemistry, Genetics and Molecular Biology |
National Digital Library of India (NDLI) is a virtual repository of learning resources which is not just a repository with search/browse facilities but provides a host of services for the learner community. It is sponsored and mentored by Ministry of Education, Government of India, through its National Mission on Education through Information and Communication Technology (NMEICT). Filtered and federated searching is employed to facilitate focused searching so that learners can find the right resource with least effort and in minimum time. NDLI provides user group-specific services such as Examination Preparatory for School and College students and job aspirants. Services for Researchers and general learners are also provided. NDLI is designed to hold content of any language and provides interface support for 10 most widely used Indian languages. It is built to provide support for all academic levels including researchers and life-long learners, all disciplines, all popular forms of access devices and differently-abled learners. It is designed to enable people to learn and prepare from best practices from all over the world and to facilitate researchers to perform inter-linked exploration from multiple sources. It is developed, operated and maintained from Indian Institute of Technology Kharagpur.
Learn more about this project from here.
NDLI is a conglomeration of freely available or institutionally contributed or donated or publisher managed contents. Almost all these contents are hosted and accessed from respective sources. The responsibility for authenticity, relevance, completeness, accuracy, reliability and suitability of these contents rests with the respective organization and NDLI has no responsibility or liability for these. Every effort is made to keep the NDLI portal up and running smoothly unless there are some unavoidable technical issues.
Ministry of Education, through its National Mission on Education through Information and Communication Technology (NMEICT), has sponsored and funded the National Digital Library of India (NDLI) project.
| Sl. | Authority | Responsibilities | Communication Details |
|---|---|---|---|
| 1 | Ministry of Education (GoI), Department of Higher Education |
Sanctioning Authority | https://www.education.gov.in/ict-initiatives |
| 2 | Indian Institute of Technology Kharagpur | Host Institute of the Project: The host institute of the project is responsible for providing infrastructure support and hosting the project | https://www.iitkgp.ac.in |
| 3 | National Digital Library of India Office, Indian Institute of Technology Kharagpur | The administrative and infrastructural headquarters of the project | Dr. B. Sutradhar bsutra@ndl.gov.in |
| 4 | Project PI / Joint PI | Principal Investigator and Joint Principal Investigators of the project |
Dr. B. Sutradhar bsutra@ndl.gov.in Prof. Saswat Chakrabarti will be added soon |
| 5 | Website/Portal (Helpdesk) | Queries regarding NDLI and its services | support@ndl.gov.in |
| 6 | Contents and Copyright Issues | Queries related to content curation and copyright issues | content@ndl.gov.in |
| 7 | National Digital Library of India Club (NDLI Club) | Queries related to NDLI Club formation, support, user awareness program, seminar/symposium, collaboration, social media, promotion, and outreach | clubsupport@ndl.gov.in |
| 8 | Digital Preservation Centre (DPC) | Assistance with digitizing and archiving copyright-free printed books | dpc@ndl.gov.in |
| 9 | IDR Setup or Support | Queries related to establishment and support of Institutional Digital Repository (IDR) and IDR workshops | idr@ndl.gov.in |
|
Loading...
|