Please wait, while we are loading the content...
Please wait, while we are loading the content...
| Content Provider | frontiers |
|---|---|
| Author | Zhang, Hongbin Chai, Siyuan Chen, Lintao Wang, Yubizhuo Cheng, Yongna Fang, Quan Wu, Guosen Wang, Xiangming Liang, Wenjie Xiao, Wenbo |
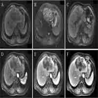
| Abstract | Introduction: Hepatic sarcomatoid carcinoma (HSC) is a rare type of liver cancer with a high malignant grade and poor prognosis. This study compared the clinical characteristics and magnetic resonance imaging (MRI) features of HSCs with those of hepatocellular carcinoma (HCC) and intrahepatic cholangiocarcinoma (ICC), aiming to identify valuable features for HSC diagnosis. Methods: In total, 17 pathologically confirmed HSC cases, 50 HCC cases and 50 common ICC cases were enrolled from two hospitals. The clinical characteristics and MRI features of all cases were summarized and statistically analyzed. Results: On the one hand, the incidence rates of elevated carbohydrate antigen (CA) 19-9 and elevated carcinoembryonic antigen (CEA) were significantly higher in the HSC cases than in the HCC cases (29.4% vs. 0%; 17.6% vs. 0%). The HSC enhancement patterns, primarily including progressive enhancement, were also significantly different from HCC cases. The incidence rates of heterogeneous signals on T2-weighted imaging and during the arterial phase were significantly higher in the HSC cases than in the HCC cases (94.1% vs. 66.0%; 100.0% vs. 72.0%). The diameter of HSCs was significantly larger than that in the HCC cases (6.12 cm vs. 4.21 cm), and the incidence rates of adjacent cholangiectasis, intrahepatic metastasis and lymph node enlargement were considerably higher in the HSC cases than in the HCC cases (52.9% vs. 6.0%; 47.1% vs. 12.0%; 41.2% vs. 2.0%). On the other hand, the incidence rate of elevated CA199 was significantly lower in the HSC cases than in the ICC cases (29.4% vs. 60.0%). The incidence rates of intratumoral necrosis and pseudocapsules were significantly higher in the HSC cases than in the HCC cases (35.3% vs. 8.0%; 47.1% vs. 12.0%). However, the incidence rates of target signs were significantly lower in the HSC cases than in the HCC cases (11.8% vs. 42.0%). In addition, there was no significant difference in the enhancement patterns between HSC cases and ICC cases. Conclusions: HSCs were frequently seen in elderly men with clinical symptoms and elevated CA199 levels. The MRI features, including large size, obvious heterogeneity, hemorrhage, progressive enhancement, pseudocapsule and lymph node enlargement, contributed to the diagnosis of HSC. |
| ISSN | 2234943X |
| DOI | 10.3389/fonc.2021.611738 |
| Volume Number | 11 |
| Journal | Frontiers in Oncology |
| Language | English |
| Publisher Date | 2021-06-17 |
| Access Restriction | Open |
| Subject Keyword | Hepatocellular Carcinoma Radiology Intrahepatic cholangiocarcinoma Hepatic sarcomatoid carcinoma Magnetic Resonance Imaging |
| Content Type | Text |
| Resource Type | Article |
| Subject | Cancer Research Oncology |
National Digital Library of India (NDLI) is a virtual repository of learning resources which is not just a repository with search/browse facilities but provides a host of services for the learner community. It is sponsored and mentored by Ministry of Education, Government of India, through its National Mission on Education through Information and Communication Technology (NMEICT). Filtered and federated searching is employed to facilitate focused searching so that learners can find the right resource with least effort and in minimum time. NDLI provides user group-specific services such as Examination Preparatory for School and College students and job aspirants. Services for Researchers and general learners are also provided. NDLI is designed to hold content of any language and provides interface support for 10 most widely used Indian languages. It is built to provide support for all academic levels including researchers and life-long learners, all disciplines, all popular forms of access devices and differently-abled learners. It is designed to enable people to learn and prepare from best practices from all over the world and to facilitate researchers to perform inter-linked exploration from multiple sources. It is developed, operated and maintained from Indian Institute of Technology Kharagpur.
Learn more about this project from here.
NDLI is a conglomeration of freely available or institutionally contributed or donated or publisher managed contents. Almost all these contents are hosted and accessed from respective sources. The responsibility for authenticity, relevance, completeness, accuracy, reliability and suitability of these contents rests with the respective organization and NDLI has no responsibility or liability for these. Every effort is made to keep the NDLI portal up and running smoothly unless there are some unavoidable technical issues.
Ministry of Education, through its National Mission on Education through Information and Communication Technology (NMEICT), has sponsored and funded the National Digital Library of India (NDLI) project.
| Sl. | Authority | Responsibilities | Communication Details |
|---|---|---|---|
| 1 | Ministry of Education (GoI), Department of Higher Education |
Sanctioning Authority | https://www.education.gov.in/ict-initiatives |
| 2 | Indian Institute of Technology Kharagpur | Host Institute of the Project: The host institute of the project is responsible for providing infrastructure support and hosting the project | https://www.iitkgp.ac.in |
| 3 | National Digital Library of India Office, Indian Institute of Technology Kharagpur | The administrative and infrastructural headquarters of the project | Dr. B. Sutradhar bsutra@ndl.gov.in |
| 4 | Project PI / Joint PI | Principal Investigator and Joint Principal Investigators of the project |
Dr. B. Sutradhar bsutra@ndl.gov.in Prof. Saswat Chakrabarti will be added soon |
| 5 | Website/Portal (Helpdesk) | Queries regarding NDLI and its services | support@ndl.gov.in |
| 6 | Contents and Copyright Issues | Queries related to content curation and copyright issues | content@ndl.gov.in |
| 7 | National Digital Library of India Club (NDLI Club) | Queries related to NDLI Club formation, support, user awareness program, seminar/symposium, collaboration, social media, promotion, and outreach | clubsupport@ndl.gov.in |
| 8 | Digital Preservation Centre (DPC) | Assistance with digitizing and archiving copyright-free printed books | dpc@ndl.gov.in |
| 9 | IDR Setup or Support | Queries related to establishment and support of Institutional Digital Repository (IDR) and IDR workshops | idr@ndl.gov.in |
|
Loading...
|