Please wait, while we are loading the content...
Please wait, while we are loading the content...
| Content Provider | frontiers |
|---|---|
| Author | Metzler, Marina Burns, William Mitchell, Carly Napolitano, Stephanie Chaudhari, Bimal P. |
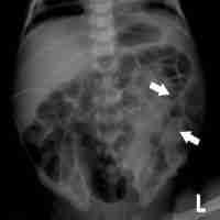
| Abstract | Long-chain 3-hydroxyacyl-CoA dehydrogenase deficiency (LCHADD) is an autosomal recessive condition of impaired beta-oxidation. Traditionally, treatment included restriction of dietary long-chain fatty acids via a low-fat diet and supplementation of medium chain triglycerides. In 2020, triheptanoin received FDA approval as an alternative source of medium chain fatty acids for individuals with long-chain fatty acid oxidation disorders (LC-FAOD). We present a case of a moderately preterm neonate born at 33 2/7 weeks gestational age with LCHADD who received triheptanoin and developed necrotizing enterocolitis (NEC). Prematurity is known as a major risk factor for NEC, with risk increasing with decreasing gestational age. To our knowledge, NEC has not previously been reported in patients with LCHADD or with triheptanoin use. While metabolic formula is part of the standard of care for LC-FAOD in early life, preterm neonates may benefit from more aggressive attempts to use skimmed human milk to minimize exposure to formula during the risk period for NEC during feed advancement. This risk period may be longer in neonates with LC-FAOD compared to otherwise healthy premature neonates. |
| ISSN | 22962360 |
| DOI | 10.3389/fped.2023.1081802 |
| Volume Number | 11 |
| Journal | Frontiers in Pediatrics |
| Language | English |
| Publisher Date | 2023-02-13 |
| Access Restriction | Open |
| Subject Keyword | LCHADD Necrotizing enterocolitis Preterm Human milk Triheptanoin |
| Content Type | Text |
| Resource Type | Article |
| Subject | Pediatrics, Perinatology and Child Health |
National Digital Library of India (NDLI) is a virtual repository of learning resources which is not just a repository with search/browse facilities but provides a host of services for the learner community. It is sponsored and mentored by Ministry of Education, Government of India, through its National Mission on Education through Information and Communication Technology (NMEICT). Filtered and federated searching is employed to facilitate focused searching so that learners can find the right resource with least effort and in minimum time. NDLI provides user group-specific services such as Examination Preparatory for School and College students and job aspirants. Services for Researchers and general learners are also provided. NDLI is designed to hold content of any language and provides interface support for 10 most widely used Indian languages. It is built to provide support for all academic levels including researchers and life-long learners, all disciplines, all popular forms of access devices and differently-abled learners. It is designed to enable people to learn and prepare from best practices from all over the world and to facilitate researchers to perform inter-linked exploration from multiple sources. It is developed, operated and maintained from Indian Institute of Technology Kharagpur.
Learn more about this project from here.
NDLI is a conglomeration of freely available or institutionally contributed or donated or publisher managed contents. Almost all these contents are hosted and accessed from respective sources. The responsibility for authenticity, relevance, completeness, accuracy, reliability and suitability of these contents rests with the respective organization and NDLI has no responsibility or liability for these. Every effort is made to keep the NDLI portal up and running smoothly unless there are some unavoidable technical issues.
Ministry of Education, through its National Mission on Education through Information and Communication Technology (NMEICT), has sponsored and funded the National Digital Library of India (NDLI) project.
| Sl. | Authority | Responsibilities | Communication Details |
|---|---|---|---|
| 1 | Ministry of Education (GoI), Department of Higher Education |
Sanctioning Authority | https://www.education.gov.in/ict-initiatives |
| 2 | Indian Institute of Technology Kharagpur | Host Institute of the Project: The host institute of the project is responsible for providing infrastructure support and hosting the project | https://www.iitkgp.ac.in |
| 3 | National Digital Library of India Office, Indian Institute of Technology Kharagpur | The administrative and infrastructural headquarters of the project | Dr. B. Sutradhar bsutra@ndl.gov.in |
| 4 | Project PI / Joint PI | Principal Investigator and Joint Principal Investigators of the project |
Dr. B. Sutradhar bsutra@ndl.gov.in Prof. Saswat Chakrabarti will be added soon |
| 5 | Website/Portal (Helpdesk) | Queries regarding NDLI and its services | support@ndl.gov.in |
| 6 | Contents and Copyright Issues | Queries related to content curation and copyright issues | content@ndl.gov.in |
| 7 | National Digital Library of India Club (NDLI Club) | Queries related to NDLI Club formation, support, user awareness program, seminar/symposium, collaboration, social media, promotion, and outreach | clubsupport@ndl.gov.in |
| 8 | Digital Preservation Centre (DPC) | Assistance with digitizing and archiving copyright-free printed books | dpc@ndl.gov.in |
| 9 | IDR Setup or Support | Queries related to establishment and support of Institutional Digital Repository (IDR) and IDR workshops | idr@ndl.gov.in |
|
Loading...
|